Phone:
+1 877 302 8632
Fax:
+1 888 205 9894 (Toll-free)
E-Mail:
orders@antibodies-online.com

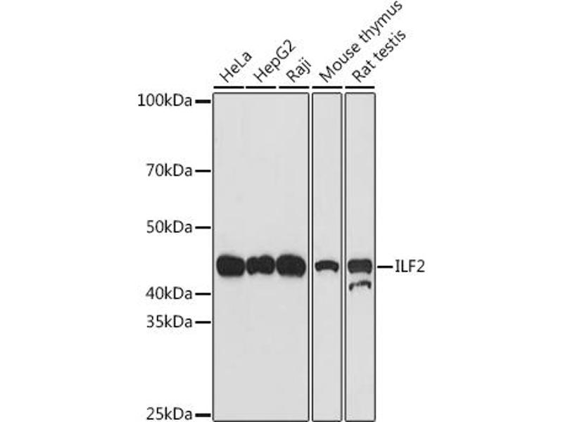
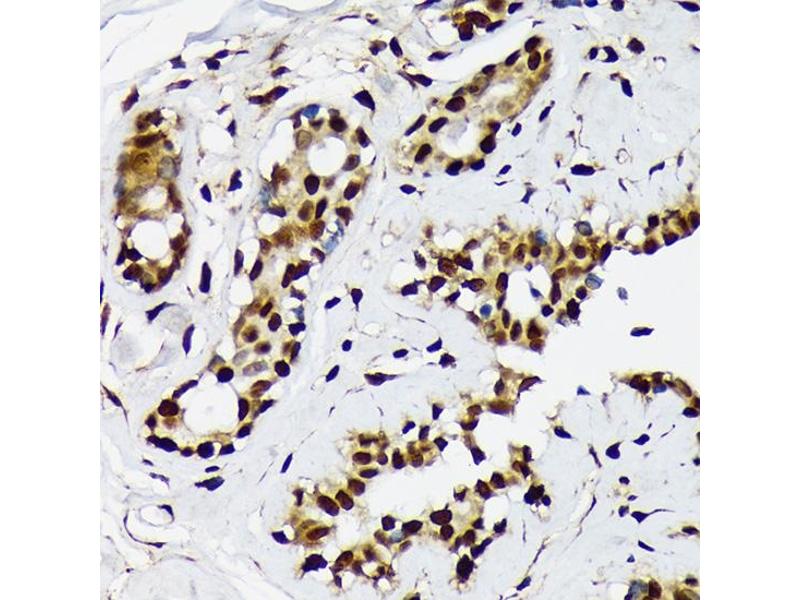
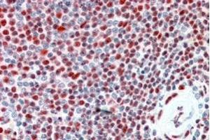
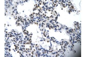
ILF2 Antibodies

(Interleukin Enhancer Binding Factor 2, 45kDa (ILF2))

Choose one of 71 ILF2 antibodies from our product listing based on 11 publications and 39 validation images.

Explore reliable ILF2 antibodies from a broad selection of renowned manufacturers. Our portfolio enables accurate ILF2 detection across multiple species, including Human, Mouse, Rat, Dog, Cow, Guinea Pig, Horse, Rabbit, Zebrafish (Danio rerio), Monkey, Pig, Chicken, Hamster, Xenopus laevis, and supports diverse research applications such as WB, IHC, ELISA, IP, FACS.

Quickly find the right antibody using our search, filter, and comparison tools. Each product page provides detailed validation data, literature references, and customer feedback. Unlike comparison-only resources, you can conveniently purchase antibodies directly through our site. Choose from polyclonal, monoclonal, or recombinant ILF2 antibodies derived from various hosts such as Rabbit, Mouse, Goat. Browse our products below and order directly to support your research with confidence.

Alternative names for ILF2 are ilf2, ILF2, ilf2.L, Ilf2.

71 results

ILF2 Reactivity: Human WB, IF, IHC (p) Host: Mouse Polyclonal unconjugated
Pubmed 1 reference
Catalog No. ABIN517145
$520.15
Plus shipping costs $50.00
50 μg
Shipping to: United States
Delivery in 11 to 14 Business Days
 
Verified ILF2 Reactivity: Human WB, ELISA Host: Goat Polyclonal unconjugated
Pubmed 2 references
Catalog No. ABIN190786
$488.25
Plus shipping costs $50.00
100 μg
Shipping to: United States
Delivery in 1 to 3 Business Days
 
ILF2 Reactivity: Human, Mouse, Rat, Dog, Cow, Horse, Rabbit, Guinea Pig, Zebrafish (Danio rerio) WB, IHC Host: Rabbit Polyclonal unconjugated
Pubmed 2 references
Catalog No. ABIN2776419
$429.69
Plus shipping costs $50.00
100 μL (More quantities available)
Shipping to: United States
Delivery in 2 to 4 Business Days
 
ILF2 Reactivity: Human WB, ELISA Host: Mouse Monoclonal 1E2 unconjugated
Pubmed 1 reference
Catalog No. ABIN561481
$520.15
Plus shipping costs $50.00
100 μg
Shipping to: United States
Delivery in 11 to 14 Business Days
 
ILF2 Reactivity: Human WB, ELISA, IHC Host: Rabbit Polyclonal unconjugated
Catalog No. ABIN7156716
$394.68
Plus shipping costs $50.00
100 μg (More quantities available)
Shipping to: United States
Delivery in 13 to 17 Business Days
 
ILF2 Reactivity: Human WB Host: Rabbit Polyclonal RB42341 unconjugated
Pubmed 5 references
Catalog No. ABIN1881458
$451.00
Plus shipping costs $50.00
400 μL (More quantities available)
Shipping to: United States
Delivery in 10 to 12 Business Days
 
ILF2 Reactivity: Human WB, ELISA Host: Mouse Polyclonal unconjugated
Catalog No. ABIN561480
$359.85
Plus shipping costs $50.00
50 μL
Shipping to: United States
Delivery in 11 to 14 Business Days
 
ILF2 Reactivity: Human WB, IHC Host: Rabbit Monoclonal unconjugated
Catalog No. ABIN7268007
$393.00
Plus shipping costs $50.00
100 μL (More quantities available)
Shipping to: United States
Delivery in 7 to 10 Business Days
 
ILF2 Reactivity: Human, Mouse, Rat, Dog, Cow, Horse, Rabbit, Guinea Pig, Monkey, Pig WB, IHC, IHC (p) Host: Rabbit Polyclonal unconjugated
Catalog No. ABIN202405
$649.00
Plus shipping costs $50.00
100 μL
Shipping to: United States
Delivery in 11 to 15 Business Days
 
ILF2 Reactivity: Human WB, FACS Host: Mouse Monoclonal 24GB13925 unconjugated
Catalog No. ABIN7799109
$394.31
Plus shipping costs $50.00
100 μL
Shipping to: United States
Delivery in 3 to 5 Business Days
 
ILF2 Reactivity: Human, Mouse WB, IP, IHC (fp) Host: Rabbit Polyclonal unconjugated
Catalog No. ABIN7453441
$538.15
Plus shipping costs $50.00
100 μg (More quantities available)
Shipping to: United States
Delivery in 3 to 5 Business Days
 
ILF2 Reactivity: Human, Dog WB, IHC, IF Host: Mouse Monoclonal 6F1 unconjugated
Catalog No. ABIN2723409
$608.40
Plus shipping costs $50.00
0.1 mL
Shipping to: United States
Delivery in 6 to 9 Business Days
 
ILF2 Reactivity: Human IP Host: Rabbit Polyclonal unconjugated
Catalog No. ABIN517146
$504.43
Plus shipping costs $50.00
100 μL
Shipping to: United States
Delivery in 11 to 14 Business Days
 
Verified ILF2 Reactivity: Human WB, ELISA, IHC, PAR-CLIP Host: Goat Polyclonal Biotin
Catalog No. ABIN5539543
$488.25
Plus shipping costs $50.00
100 μg
Shipping to: United States
Delivery in 1 to 3 Business Days
 
ILF2 Reactivity: Human WB, IP, FACS, IHC (p) Host: Rabbit Monoclonal R08-6J1R08-6J1 unconjugated Recombinant Antibody
Catalog No. ABIN7542243
$772.20
Plus shipping costs $50.00
100 μL
Shipping to: United States
Delivery in 11 to 14 Business Days
 
ILF2 Reactivity: Human WB, ELISA, IHC Host: Rabbit Polyclonal Biotin
Catalog No. ABIN2144187
$868.57
Plus shipping costs $50.00
100 μg
Shipping to: United States
Delivery in 9 to 12 Business Days
 
ILF2 Reactivity: Human WB, ELISA, IHC Host: Rabbit Polyclonal FITC
Catalog No. ABIN2144186
$868.57
Plus shipping costs $50.00
100 μg
Shipping to: United States
Delivery in 9 to 12 Business Days
 
ILF2 Reactivity: Human WB, ELISA, IHC Host: Rabbit Polyclonal HRP
Catalog No. ABIN2144185
$868.57
Plus shipping costs $50.00
100 μg
Shipping to: United States
Delivery in 9 to 12 Business Days
 
ILF2 Reactivity: Human WB, IHC, IF Host: Mouse Monoclonal 6F1 unconjugated
Catalog No. ABIN2144184
$1,915.18
Plus shipping costs $50.00
100 μL
Shipping to: United States
Delivery in 9 to 12 Business Days
 
ILF2 Reactivity: Human Host: Rabbit Polyclonal FITC
Catalog No. ABIN7156718
$394.68
Plus shipping costs $50.00
100 μg (More quantities available)
Shipping to: United States
Delivery in 13 to 17 Business Days
 
  • Type Primary
    • Primary
  • Application
    • Western Blotting (WB)
    • Immunohistochemistry (IHC)
    • ELISA
    • Immunoprecipitation (IP)
    • Flow Cytometry (FACS)
    • Immunofluorescence (IF)
    • Immunohistochemistry (Paraffin-embedded Sections) (IHC (p))
    • Immunocytochemistry (ICC)
    • Immunohistochemistry (Formalin-fixed Paraffin-embedded Sections) (IHC (fp))
    • Photoactivatable Ribonucleoside - Crosslinking and Immunoprecipitation (PAR-CLIP)
  • Reactivity
    • Human
    • Mouse
    • Rat
    • Dog
    • Cow
    • Guinea Pig
    • Horse
    • Rabbit
    • Zebrafish (Danio rerio)
    • Monkey
    • Pig
    • Chicken
    • Hamster
    • Xenopus laevis
  • Cited in publications
  • Images available
  • Preservative free only
  • Carrier free only
  • Host
    • Rabbit
    • Mouse
    • Goat
  • Clonality
    • Polyclonal
    • Monoclonal
  • Clone
    • 6F1
    • 18I48
    • 1E2
    • 24GB13925
    • R08-6J1R08-6J1
    • RB42341
  • Binding Specificity
    • AA 1-390
    • AA 84-112
    • C-Term
    • N-Term
    • AA 151-250
    • AA 340-390
    • Internal Region
    • AA 23-356
    • AA 41-90
    • AA 59-108
    • AA 88-1165
  • Conjugate
    • Un-conjugated
    • Biotin
    • FITC
    • Alexa Fluor 488
    • Alexa Fluor 555
    • Alexa Fluor 594
    • Alexa Fluor 647
    • Alexa Fluor 680
    • Alexa Fluor 750
    • HRP
    • APC
    • Alexa Fluor 350
    • Alexa Fluor 405
    • PE
  • Isotype
    • IgG
    • IgG1
    • Ig Fraction
  • Protein Type
    • Recombinant Antibody
  • Format
    • Liquid
    • Lyophilized
  • Grade
    • Verified
  • Supplier
    • antibodies-online
    • Signalway
    • Boster Bio
    • Cohesion Biosciences
    • Aviva Systems Biology
    • CUSABIO
    • OriGene
    • ProSci
    • USBio

Latest Publications for our ILF2 Antibodies

Klinke, Kulkarni, Wu, Byrne-Hoffman: "Inferring alterations in cell-to-cell communication in HER2+ breast cancer using secretome profiling of three cell models." in: Biotechnology and bioengineering, Vol. 111, Issue 9, pp. 1853-63, (2014) (PubMed).

Shamanna, Hoque, Peery, Mathews: "Induction of p53, p21 and apoptosis by silencing the NF90/NF45 complex in human papilloma virus-transformed cervical carcinoma cells." in: Oncogene, Vol. 32, Issue 43, pp. 5176-85, (2013) (PubMed).

Yamauchi, Nakamura, Hiramoto, Yuri, Yokota, Naitou, Takeuchi, Yamanaka, Kita, Nakahara, Kinoyama, Matsuhisa, Kaneko, Koutoku, Sasamata, Kobori, Katou, Tawara, Kawabata, Furuichi: "Sepantronium bromide (YM155) induces disruption of the ILF3/p54(nrb) complex, which is required for survivin expression." in: Biochemical and biophysical research communications, Vol. 425, Issue 4, pp. 711-6, (2012) (PubMed).

Shamanna, Hoque, Lewis-Antes, Azzam, Lagunoff, Peery, Mathews: "The NF90/NF45 complex participates in DNA break repair via nonhomologous end joining." in: Molecular and cellular biology, Vol. 31, Issue 23, pp. 4832-43, (2011) (PubMed).

Karmakar, Mahajan, Schulz, Boyapaty, Weissman: "A multiprotein complex necessary for both transcription and DNA replication at the β-globin locus." in: The EMBO journal, Vol. 29, Issue 19, pp. 3260-71, (2010) (PubMed).

Graber, Baird, Kao, Mathews, Holcik: "NF45 functions as an IRES trans-acting factor that is required for translation of cIAP1 during the unfolded protein response." in: Cell death and differentiation, Vol. 17, Issue 4, pp. 719-29, (2010) (PubMed).

Davila, Froeling, Tan, Bonnard, Boland, Snippe, Hibberd, Seielstad: "New genetic associations detected in a host response study to hepatitis B vaccine." in: Genes and immunity, Vol. 11, Issue 3, pp. 232-8, (2010) (PubMed).

Kiesler, Haynes, Shi, Kao, Wysocki, Vercelli: "NF45 and NF90 regulate HS4-dependent interleukin-13 transcription in T cells." in: The Journal of biological chemistry, Vol. 285, Issue 11, pp. 8256-67, (2010) (PubMed).

Sakamoto, Aoki, Higuchi, Todaka, Morisawa, Tamaki, Hatano, Fukushima, Taniguchi, Agata: "The NF90-NF45 complex functions as a negative regulator in the microRNA processing pathway." in: Molecular and cellular biology, Vol. 29, Issue 13, pp. 3754-69, (2009) (PubMed).

Jiang, Zhou, Moxley, Jarrett: "Purification and identification of positive regulators binding to a novel element in the c-Jun promoter." in: Biochemistry, Vol. 47, Issue 35, pp. 9318-34, (2008) (PubMed).

Aliases for ILF2 Antibodies

interleukin enhancer binding factor 2 (ilf2) Antibodies
interleukin enhancer binding factor 2 (ILF2) Antibodies
interleukin enhancer binding factor 2 L homeolog (ilf2.L) Antibodies
interleukin enhancer binding factor 2 (Ilf2) Antibodies
6230405A16Rik Antibodies
ILF2 Antibodies
nf45 Antibodies
NF45 Antibodies
pro3063 Antibodies
PRO3063 Antibodies
TEG-267 Antibodies
Tex261 Antibodies
Tex267 Antibodies
wu:fb34h01 Antibodies
zgc:73084 Antibodies
zgc:77276 Antibodies
You are here:
Chat with us!