Phone:
+1 877 302 8632
Fax:
+1 888 205 9894 (Toll-free)
E-Mail:
orders@antibodies-online.com

PDK2 Antibodies

(Pyruvate Dehydrogenase Kinase, Isozyme 2 (PDK2))

Choose one of 106 PDK2 antibodies from our product listing based on 18 publications and 66 validation images.

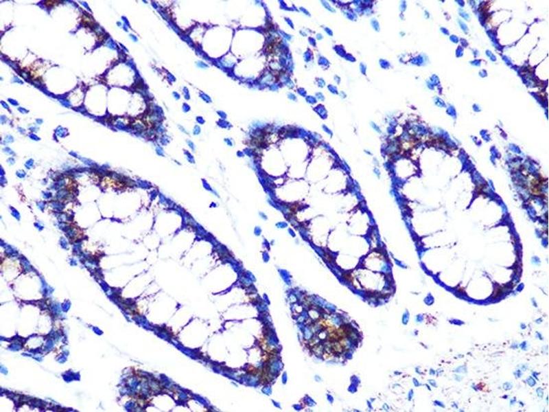
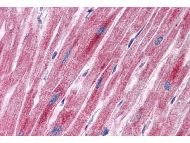
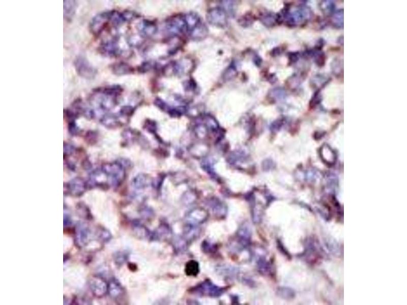
Explore reliable PDK2 antibodies from a broad selection of renowned manufacturers. Our portfolio enables accurate PDK2 detection across multiple species, including Human, Mouse, Rat, Monkey, Cow, Guinea Pig, Horse, Bat, Dog, Pig, Primate, Rabbit, Sheep, Zebrafish (Danio rerio), and supports diverse research applications such as WB, IHC, ELISA, FACS, ICC.

Quickly find the right antibody using our search, filter, and comparison tools. Each product page provides detailed validation data, literature references, and customer feedback. Unlike comparison-only resources, you can conveniently purchase antibodies directly through our site. Choose from polyclonal, monoclonal, or recombinant PDK2 antibodies derived from various hosts such as Rabbit, Mouse. Browse our products below and order directly to support your research with confidence.

Alternative names for PDK2 are PDK2, Pdk2, pdk2b.

106 results

PDK2 Reactivity: Human WB, ELISA, IHC (p), RNAi Host: Mouse Monoclonal 2G1 unconjugated
Pubmed 4 references
Catalog No. ABIN562160
$520.15
Plus shipping costs $50.00
100 μg
Shipping to: United States
Delivery in 11 to 14 Business Days
 
PDK2 Reactivity: Mouse WB, IHC, IP, ICC Host: Rabbit Polyclonal unconjugated
Catalog No. ABIN7439423
$333.16
Plus shipping costs $50.00
100 μL (More quantities available)
Shipping to: United States
Delivery in 13 to 17 Business Days
 
PDK2 Reactivity: Human WB, ELISA, FACS Host: Mouse Monoclonal 3F2D7 unconjugated
Catalog No. ABIN5542665
$473.33
Plus shipping costs $50.00
100 μL
Shipping to: United States
Delivery in 3 to 5 Business Days
 
PDK2 Reactivity: Human, Mouse, Rat WB, IHC, ELISA, FACS, ICC, IF Host: Rabbit Polyclonal unconjugated
Catalog No. ABIN5693279
$370.00
Plus shipping costs $50.00
100 μg
Shipping to: United States
Delivery in 4 to 7 Business Days
 
PDK2 Reactivity: Human WB, IHC (p), FACS Host: Rabbit Polyclonal RB23089 unconjugated
Pubmed 4 references
Catalog No. ABIN653784
$451.00
Plus shipping costs $50.00
400 μL (More quantities available)
Shipping to: United States
Delivery in 10 to 12 Business Days
 
PDK2 Reactivity: Human, Mouse WB, IHC (p) Host: Rabbit Polyclonal RB34663 unconjugated
Catalog No. ABIN657996
$451.00
Plus shipping costs $50.00
400 μL (More quantities available)
Shipping to: United States
Delivery in 10 to 12 Business Days
 
PDK2 Reactivity: Human WB, IHC (p) Host: Rabbit Polyclonal RB03037 unconjugated
Pubmed 10 references
Catalog No. ABIN391037
$451.00
Plus shipping costs $50.00
400 μL (More quantities available)
Shipping to: United States
Delivery in 10 to 12 Business Days
 
PDK2 Reactivity: Human WB, IF Host: Rabbit Polyclonal unconjugated
Catalog No. ABIN1681304
$383.00
Plus shipping costs $50.00
100 μg (More quantities available)
Shipping to: United States
Delivery in 7 to 10 Business Days
 
PDK2 Reactivity: Human WB, IHC, ELISA Host: Rabbit Polyclonal unconjugated
Catalog No. ABIN7142006
$394.68
Plus shipping costs $50.00
100 μL (More quantities available)
Shipping to: United States
Delivery in 13 to 17 Business Days
 
PDK2 Reactivity: Human, Mouse, Rat WB, FACS, IP, ICC, IF Host: Rabbit Polyclonal unconjugated
Catalog No. ABIN3044044
$370.00
Plus shipping costs $50.00
100 μg
Shipping to: United States
Delivery in 4 to 7 Business Days
 
PDK2 Reactivity: Human, Mouse WB, IHC (p) Host: Mouse Monoclonal 7E5 unconjugated
Catalog No. ABIN4912898
$453.85
Plus shipping costs $50.00
100 μL
Shipping to: United States
Delivery in 8 to 12 Business Days
 
PDK2 Reactivity: Human WB, ELISA Host: Mouse Polyclonal unconjugated
Catalog No. ABIN562159
$359.85
Plus shipping costs $50.00
50 μL
Shipping to: United States
Delivery in 11 to 14 Business Days
 
PDK2 Reactivity: Human WB, ELISA Host: Mouse Monoclonal 2D12 unconjugated
Catalog No. ABIN518757
$520.15
Plus shipping costs $50.00
100 μg
Shipping to: United States
Delivery in 11 to 14 Business Days
 
PDK2 Reactivity: Human WB, IHC Host: Rabbit Monoclonal unconjugated
Catalog No. ABIN7269773
$393.00
Plus shipping costs $50.00
100 μL (More quantities available)
Shipping to: United States
Delivery in 7 to 10 Business Days
 
PDK2 Reactivity: Human, Cow WB, IHC, IHC (p) Host: Rabbit Polyclonal unconjugated
Catalog No. ABIN6746981
$476.30
Plus shipping costs $50.00
100 μL
Shipping to: United States
Delivery in 11 to 15 Business Days
 
PDK2 Reactivity: Human, Mouse, Rat WB, IHC, ELISA, ICC, IF Host: Rabbit Polyclonal unconjugated
Catalog No. ABIN6259149
$494.77
Plus shipping costs $50.00
100 μL (More quantities available)
Shipping to: United States
Delivery in 11 to 13 Business Days
 
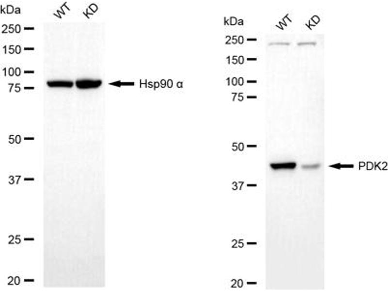
KD Validated PDK2 Reactivity: Human WB Host: Mouse Monoclonal 25GB7155 unconjugated
Catalog No. ABIN7800083
$598.92
Plus shipping costs $50.00
100 μL
Shipping to: United States
Delivery in 3 to 5 Business Days
 
PDK2 Reactivity: Human, Mouse, Rat, Cow, Guinea Pig, Horse, Dog, Rabbit, Zebrafish (Danio rerio) WB, IHC Host: Rabbit Polyclonal unconjugated
Catalog No. ABIN2777433
$483.54
Plus shipping costs $50.00
100 μL (More quantities available)
Shipping to: United States
Delivery in 2 to 4 Business Days
 
PDK2 Reactivity: Human, Mouse, Rat WB, IHC, ELISA Host: Rabbit Polyclonal unconjugated
Catalog No. ABIN3186377
$402.79
Plus shipping costs $50.00
100 μL (More quantities available)
Shipping to: United States
Delivery in 11 to 15 Business Days
 
PDK2 Reactivity: Human WB Host: Mouse Polyclonal unconjugated
Catalog No. ABIN518755
$520.15
Plus shipping costs $50.00
50 μg
Shipping to: United States
Delivery in 11 to 14 Business Days
 
  • Type Primary
    • Primary
  • Application
    • Western Blotting (WB)
    • Immunohistochemistry (IHC)
    • ELISA
    • Flow Cytometry (FACS)
    • Immunocytochemistry (ICC)
    • Immunohistochemistry (Paraffin-embedded Sections) (IHC (p))
    • Immunoprecipitation (IP)
    • Immunofluorescence (IF)
    • Immunofluorescence (Cultured Cells) (IF (cc))
    • Immunofluorescence (Paraffin-embedded Sections) (IF (p))
    • Immunohistochemistry (Frozen Sections) (IHC (fro))
    • Enzyme Immunoassay (EIA)
    • Immunochromatography (IC)
    • RNA Interference (RNAi)
  • Reactivity
    • Human
    • Mouse
    • Rat
    • Monkey
    • Cow
    • Guinea Pig
    • Horse
    • Bat
    • Dog
    • Pig
    • Primate
    • Rabbit
    • Sheep
    • Zebrafish (Danio rerio)
  • Cited in publications
  • Images available
  • Preservative free only
  • Carrier free only
  • Host
    • Rabbit
    • Mouse
  • Clonality
    • Polyclonal
    • Monoclonal
  • Clone
    • 180CT10-2-3
    • 25GB7155
    • 2D12
    • 2G1
    • 3F2C4
    • 3F2D7
    • 7E5
    • A433
    • AEOA-16
    • R01-6D8
    • RB03037
    • RB23089
    • RB34663
  • Binding Specificity
    • AA 315-407
    • AA 378-407
    • AA 78-107
    • C-Term
    • AA 1-407
    • AA 128-407
    • AA 178-404
    • AA 187-276
    • AA 379-392
    • Internal Region
    • N-Term
    • AA 155-379
    • AA 155-380
    • AA 230-310
    • AA 242-291
    • AA 251-300
    • AA 260-309
    • AA 46-364
    • AA 47-181
    • AA 77-107
    • AA 81-177
    • Arg291
    • Center
    • Middle Region
  • Conjugate
    • Un-conjugated
    • Biotin
    • FITC
    • HRP
    • APC
    • PE
    • Alexa Fluor 488
    • Alexa Fluor 555
    • Alexa Fluor 594
    • Alexa Fluor 647
    • Alexa Fluor 680
    • Alexa Fluor 750
    • AbBy Fluor® 350
    • AbBy Fluor® 488
    • AbBy Fluor® 555
    • AbBy Fluor® 594
    • AbBy Fluor® 647
    • AbBy Fluor® 680
    • AbBy Fluor® 750
    • Alexa Fluor 350
    • Alexa Fluor 405
    • Cy3
    • Cy5
    • Cy5.5
    • Cy7
  • Isotype
    • IgG
    • IgG1 kappa
    • Ig Fraction
    • IgG2b
    • IgG1
    • IgG2a
    • kappa
  • Protein Type
    • Recombinant Antibody
  • Format
    • Liquid
    • Lyophilized
  • Grade
    • KD Validated
  • Supplier
    • antibodies-online
    • Signalway
    • USBio
    • Boster Bio
    • Cohesion Biosciences
    • Abbexa
    • Acris
    • Assay Biotechnology Company, Inc.
    • Aviva Systems Biology
    • Biomatik
    • ProteoGenix
    • RayBiotech

Latest Publications for our PDK2 Antibodies

Hu, Yu, Li, Ren, Ning, Wang, Liang, Li: "PDK2 induces cisplatin-resistance in lung adenocarcinoma via transcriptional regulation of CNNM3." in: Journal of drug targeting, Vol. 27, Issue 4, pp. 460-465, (2019) (PubMed).

Qvit, Disatnik, Sho, Mochly-Rosen: "Selective Phosphorylation Inhibitor of Delta Protein Kinase C-Pyruvate Dehydrogenase Kinase Protein-Protein Interactions: Application for Myocardial Injury in Vivo." in: Journal of the American Chemical Society, Vol. 138, Issue 24, pp. 7626-35, (2018) (PubMed).

Qvit, Joshi, Cunningham, Ferreira, Mochly-Rosen: "Glyceraldehyde-3-Phosphate Dehydrogenase (GAPDH) Protein-Protein Interaction Inhibitor Reveals a Non-catalytic Role for GAPDH Oligomerization in Cell Death." in: The Journal of biological chemistry, Vol. 291, Issue 26, pp. 13608-21, (2016) (PubMed).

Le Page, Rider, Lewis, Ball, Clarke, Johansson, Carr, Heather, Tyler: "Increasing Pyruvate Dehydrogenase Flux as a Treatment for Diabetic Cardiomyopathy: A Combined 13C Hyperpolarized Magnetic Resonance and Echocardiography Study." in: Diabetes, Vol. 64, Issue 8, pp. 2735-43, (2015) (PubMed).

Hou, Zhang, Han, Ge, Ma, Zhang, Moley, Schedl, Wang: "Differing roles of pyruvate dehydrogenase kinases during mouse oocyte maturation." in: Journal of cell science, Vol. 128, Issue 13, pp. 2319-29, (2015) (PubMed).

Hurd, Collins, Abakumova, Chouchani, Baranowski, Fearnley, Prime, Murphy, James: "Inactivation of pyruvate dehydrogenase kinase 2 by mitochondrial reactive oxygen species." in: The Journal of biological chemistry, Vol. 287, Issue 42, pp. 35153-60, (2012) (PubMed).

Yamasaki, Kawabe, Nakamura, Tachibana, Ishimoto, Tanaka, Aburatani, Sakai, Hamakubo, Kodama, Doi: "Fenofibrate suppresses growth of the human hepatocellular carcinoma cell via PPAR?-independent mechanisms." in: European journal of cell biology, Vol. 90, Issue 8, pp. 657-64, (2011) (PubMed).

Love, LeBlanc, Inglis, Bradley, Choptiany, Heigenhauser, Peters: "The relationship between human skeletal muscle pyruvate dehydrogenase phosphatase activity and muscle aerobic capacity." in: Journal of applied physiology (Bethesda, Md. : 1985), Vol. 111, Issue 2, pp. 427-34, (2011) (PubMed).

Dunford, Herbst, Jeoung, Gittings, Inglis, Vandenboom, LeBlanc, Harris, Peters: "PDH activation during in vitro muscle contractions in PDH kinase 2 knockout mice: effect of PDH kinase 1 compensation." in: American journal of physiology. Regulatory, integrative and comparative physiology, Vol. 300, Issue 6, pp. R1487-93, (2011) (PubMed).

Sun, Chang, Fu, Liu, Califano: "Chronic CSE treatment induces the growth of normal oral keratinocytes via PDK2 upregulation, increased glycolysis and HIF1? stabilization." in: PLoS ONE, Vol. 6, Issue 1, pp. e16207, (2011) (PubMed).

Aliases for PDK2 Antibodies

pyruvate dehydrogenase kinase 2 (PDK2) Antibodies
pyruvate dehydrogenase kinase, isoenzyme 2 (Pdk2) Antibodies
pyruvate dehydrogenase kinase 2 (Pdk2) Antibodies
pyruvate dehydrogenase kinase, isozyme 2b (pdk2b) Antibodies
PDHK2 Antibodies
Pdk Antibodies
PDK2 Antibodies
PDKII Antibodies
zgc:56209 Antibodies
You are here:
Chat with us!