Phone:
+1 877 302 8632
Fax:
+1 888 205 9894 (Toll-free)
E-Mail:
orders@antibodies-online.com

QARS Antibodies

(Glutaminyl-tRNA Synthetase (QARS))

Choose one of 26 QARS antibodies from our product listing based on 1 publication and 35 validation images.

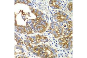
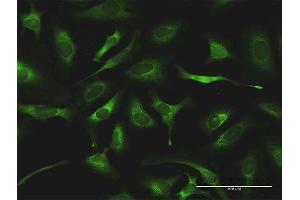
Explore reliable QARS antibodies from a broad selection of renowned manufacturers. Our portfolio enables accurate QARS detection across multiple species, including Human, Mouse, Rat, Cow, Dog, Horse, Pig, Rabbit, Bat, Guinea Pig, Hamster, Monkey, Zebrafish (Danio rerio), and supports diverse research applications such as WB, IHC, IP, IF, ELISA.

Quickly find the right antibody using our search, filter, and comparison tools. Each product page provides detailed validation data, literature references, and customer feedback. Unlike comparison-only resources, you can conveniently purchase antibodies directly through our site. Choose from polyclonal, monoclonal, or recombinant QARS antibodies derived from various hosts such as Rabbit, Mouse. Browse our products below and order directly to support your research with confidence.

Alternative names for QARS are GlnRS, qars, QARS, glnS, Tb09.160.3730, Mrub_1755, Arnit_2221, Mesil_1300, Slip_2326, Trad_2932, Spirs_1481, Deba_3249, Thicy_0683, Qars.

26 results

QARS Reactivity: Human WB, IP, ELISA, IHC (p) Host: Mouse Monoclonal 5F5 unconjugated
Pubmed 1 reference
Catalog No. ABIN562548
$520.15
Plus shipping costs $50.00
100 μg
Shipping to: United States
Delivery in 11 to 14 Business Days
 
QARS Reactivity: Human WB, IF Host: Rabbit Polyclonal unconjugated
Catalog No. ABIN519576
$504.43
Plus shipping costs $50.00
100 μg
Shipping to: United States
Delivery in 11 to 14 Business Days
 
QARS Reactivity: Human WB, IHC, IF Host: Rabbit Polyclonal unconjugated
Catalog No. ABIN6146529
$383.00
Plus shipping costs $50.00
100 μL (More quantities available)
Shipping to: United States
Delivery in 7 to 10 Business Days
 
QARS Reactivity: Human WB, IHC, IP, ELISA Host: Rabbit Polyclonal unconjugated
Catalog No. ABIN7154026
$394.68
Plus shipping costs $50.00
100 μL (More quantities available)
Shipping to: United States
Delivery in 13 to 17 Business Days
 
QARS Reactivity: Human WB, IF Host: Mouse Polyclonal unconjugated
Catalog No. ABIN519575
$520.15
Plus shipping costs $50.00
50 μg
Shipping to: United States
Delivery in 11 to 14 Business Days
 
QARS Reactivity: Rat WB, IHC, IP, ICC Host: Rabbit Polyclonal unconjugated
Catalog No. ABIN5013625
$266.00
Plus shipping costs $50.00
100 μL
Shipping to: United States
Delivery in 15 to 19 Business Days
 
QARS Reactivity: Human WB, IHC, IP, ICC Host: Rabbit Polyclonal unconjugated
Catalog No. ABIN5013626
$245.00
Plus shipping costs $50.00
100 μL
Shipping to: United States
Delivery in 15 to 19 Business Days
 
QARS Reactivity: Human WB Host: Rabbit Polyclonal unconjugated
Catalog No. ABIN928871
$1,297.32
Plus shipping costs $50.00
100 μL
Shipping to: United States
Delivery in 16 to 22 Business Days
 
QARS Reactivity: Human, Rat, Mouse, Cow, Dog, Horse, Pig, Rabbit, Bat, Hamster, Monkey WB Host: Rabbit Polyclonal unconjugated
Catalog No. ABIN6746111
$690.07
Plus shipping costs $50.00
100 μL
Shipping to: United States
Delivery in 11 to 15 Business Days
 
QARS Reactivity: Human WB, IHC (p) Host: Rabbit Polyclonal unconjugated
Catalog No. ABIN7465499
$740.00
Plus shipping costs $50.00
100 μL
Shipping to: United States
Delivery in 3 to 5 Business Days
 
QARS Reactivity: Rat WB, IHC, IP, ICC Host: Rabbit Polyclonal unconjugated
Catalog No. ABIN7639552
$347.18
Plus shipping costs $50.00
100 μL (More quantities available)
Shipping to: United States
Delivery in 13 to 17 Business Days
 
QARS Reactivity: Human WB, IHC, IP, ICC Host: Rabbit Polyclonal unconjugated
Catalog No. ABIN7639551
$326.15
Plus shipping costs $50.00
100 μL (More quantities available)
Shipping to: United States
Delivery in 13 to 17 Business Days
 
QARS Reactivity: Human, Mouse WB, IP Host: Rabbit Polyclonal unconjugated
Catalog No. ABIN7450625
$538.15
Plus shipping costs $50.00
100 μg (More quantities available)
Shipping to: United States
Delivery in 3 to 5 Business Days
 
QARS Reactivity: Human, Mouse WB, IHC, IF Host: Rabbit Polyclonal unconjugated
Catalog No. ABIN6759996
$637.27
Plus shipping costs $50.00
100 μL (More quantities available)
Shipping to: United States
Delivery in 11 to 15 Business Days
 
QARS Reactivity: Human, Rat, Mouse, Cow, Dog, Horse, Pig, Rabbit, Guinea Pig, Zebrafish (Danio rerio) WB Host: Rabbit Polyclonal unconjugated
Catalog No. ABIN2786804
$483.54
Plus shipping costs $50.00
100 μL (More quantities available)
Shipping to: United States
Delivery in 2 to 4 Business Days
 
QARS Reactivity: Human WB, IF Host: Mouse Polyclonal unconjugated
Catalog No. ABIN2346521
$905.21
Plus shipping costs $50.00
50 μg
Shipping to: United States
Delivery in 11 to 17 Business Days
 
QARS Reactivity: Human WB Host: Rabbit Polyclonal unconjugated
Catalog No. ABIN2346522
$1,000.50
Plus shipping costs $50.00
100 μg
Shipping to: United States
Delivery in 11 to 17 Business Days
 
QARS Reactivity: Human, Rat, Mouse WB, IHC, ELISA Host: Rabbit Polyclonal unconjugated
Catalog No. ABIN2930953
$873.06
Plus shipping costs $50.00
100 μL
Shipping to: United States
Delivery in 10 to 18 Business Days
 
QARS Reactivity: Human WB, IHC, IP, ELISA Host: Mouse Monoclonal 5F5 unconjugated
Catalog No. ABIN2346523
$905.21
Plus shipping costs $50.00
100 μg
Shipping to: United States
Delivery in 11 to 17 Business Days
 
QARS Reactivity: Human Host: Rabbit Polyclonal Alexa Fluor 680
Catalog No. ABIN6901265
$515.90
Plus shipping costs $50.00
100 μL
Shipping to: United States
Delivery in 6 to 9 Business Days
 
  • Type Primary
    • Primary
  • Application
    • Western Blotting (WB)
    • Immunohistochemistry (IHC)
    • Immunoprecipitation (IP)
    • Immunofluorescence (IF)
    • ELISA
    • Immunocytochemistry (ICC)
    • Immunohistochemistry (Paraffin-embedded Sections) (IHC (p))
  • Reactivity
    • Human
    • Mouse
    • Rat
    • Cow
    • Dog
    • Horse
    • Pig
    • Rabbit
    • Bat
    • Guinea Pig
    • Hamster
    • Monkey
    • Zebrafish (Danio rerio)
  • Cited in publications
  • Images available
  • Carrier free only
  • Host
    • Rabbit
    • Mouse
  • Clonality
    • Polyclonal
    • Monoclonal
  • Clone
    • 5F5
  • Binding Specificity
    • AA 1-775
    • AA 1-250
    • N-Term
    • AA 2-206
    • AA 215-264
    • AA 514-775
    • AA 677-775
    • AA 677-776
    • AA 725-775
  • Conjugate
    • Un-conjugated
    • Alexa Fluor 488
    • Alexa Fluor 555
    • Alexa Fluor 594
    • Alexa Fluor 647
    • Alexa Fluor 680
    • Alexa Fluor 750
    • Biotin
  • Isotype
    • IgG
    • IgG2b
    • IgG2b kappa
  • Format
    • Liquid
    • Lyophilized
  • Supplier
    • antibodies-online
    • Signalway
    • USBio
    • Cloud-Clone
    • Abbexa
    • Aviva Systems Biology

Latest Publications for our QARS Antibodies

Smith, Qutob, Watson, Beavis, Potts, Welham, Garimella, Lind, Drew, Cawkwell: "Proteomic identification of putative biomarkers of radiotherapy resistance: a possible role for the 26S proteasome?" in: Neoplasia (New York, N.Y.), Vol. 11, Issue 11, pp. 1194-207, (2009) (PubMed).

Aliases for QARS Antibodies

Glutaminyl-tRNA synthetase (GlnRS) Antibodies
glutaminyl-tRNA synthetase (qars) Antibodies
glutaminyl-tRNA synthetase (QARS) Antibodies
glutaminyl-tRNA synthetase GlnS (glnS) Antibodies
glutaminyl-tRNA synthetase (glnS) Antibodies
glutaminyl-tRNA ligase (glnS) Antibodies
glutaminyl-tRNA synthetase (Tb09.160.3730) Antibodies
glutaminyl-tRNA synthetase (Mrub_1755) Antibodies
glutaminyl-tRNA synthetase (Arnit_2221) Antibodies
glutaminyl-tRNA synthetase (Mesil_1300) Antibodies
glutaminyl-tRNA synthetase (Slip_2326) Antibodies
glutaminyl-tRNA synthetase (Trad_2932) Antibodies
glutaminyl-tRNA synthetase (Spirs_1481) Antibodies
glutaminyl-tRNA synthetase (Deba_3249) Antibodies
glutaminyl-tRNA synthetase (Thicy_0683) Antibodies
glutaminyl-tRNA synthetase (Qars) Antibodies
1110018N24Rik Antibodies
1200016L19Rik Antibodies
Aast-g1n Antibodies
BcDNA:GH11673 Antibodies
C80286 Antibodies
CG10506 Antibodies
Dmel\\CG10506 Antibodies
EPRS Antibodies
GlnRS Antibodies
GLNRS Antibodies
glnRS Antibodies
l(3)05461 Antibodies
PRO2195 Antibodies
PSPTO3743 Antibodies
qars Antibodies
QRS Antibodies
zgc:56395 Antibodies
You are here:
Chat with us!