Phone:
+1 877 302 8632
Fax:
+1 888 205 9894 (Toll-free)
E-Mail:
orders@antibodies-online.com

Metalloproteinase Inhibitor 2 Antibodies

(Metalloproteinase Inhibitor 2 (TIMP2))

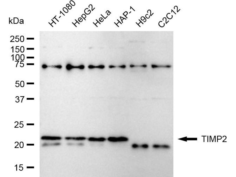
Choose one of 215 TIMP2 antibodies from our product listing based on 18 publications and 102 validation images.

Explore reliable TIMP2 antibodies from a broad selection of renowned manufacturers. Our portfolio enables accurate TIMP2 detection across multiple species, including Human, Rat, Mouse, Rabbit, Cow, Guinea Pig, Zebrafish (Danio rerio), Dog, Horse, Pig, Monkey, Sheep, Chicken, Hamster, Bat, Gibbon, Gorilla, Mammalian, and supports diverse research applications such as WB, IHC, IF (cc), IF (p), IHC (fp).

Quickly find the right antibody using our search, filter, and comparison tools. Each product page provides detailed validation data, literature references, and customer feedback. Unlike comparison-only resources, you can conveniently purchase antibodies directly through our site. Choose from polyclonal, monoclonal, or recombinant TIMP2 antibodies derived from various hosts such as Rabbit, Mouse, Goat. Browse our products below and order directly to support your research with confidence.

Alternative names for TIMP2 are TIMP2, timp2b, Timp2, timp2a, timp2.L.

215 results

TIMP2 Reactivity: Human, Rat, Mouse WB, ELISA, IF Host: Rabbit Polyclonal unconjugated
Pubmed 2 references
Catalog No. ABIN1533420
$341.00
Plus shipping costs $50.00
100 μL (More quantities available)
Shipping to: United States
Delivery in 2 to 4 Business Days
 
TIMP2 Reactivity: Human, Rat, Mouse, Pig, Monkey WB, IHC, IF Host: Rabbit Polyclonal unconjugated
Catalog No. ABIN7297146
$330.77
Plus shipping costs $50.00
100 μL (More quantities available)
Shipping to: United States
Delivery in 13 to 15 Business Days
 
TIMP2 Reactivity: Human, Rat, Mouse, Cow, Rabbit, Zebrafish (Danio rerio), Guinea Pig, Dog, Horse, Sheep WB, IHC Host: Rabbit Polyclonal unconjugated
Catalog No. ABIN2787967
$483.54
Plus shipping costs $50.00
100 μL (More quantities available)
Shipping to: United States
Delivery in 2 to 4 Business Days
 
TIMP2 Reactivity: Human WB Host: Mouse Polyclonal unconjugated
Catalog No. ABIN948561
$520.15
Plus shipping costs $50.00
50 μg
Shipping to: United States
Delivery in 11 to 14 Business Days
 
TIMP2 Reactivity: Human WB, IHC, ELISA Host: Mouse Monoclonal 3A4 unconjugated
Catalog No. ABIN307122
$368.50
Plus shipping costs $50.00
200 μg
Shipping to: United States
Delivery in 4 to 7 Business Days
 
TIMP2 Reactivity: Human WB, ELISA Host: Rabbit Polyclonal unconjugated
Catalog No. ABIN7159485
$394.68
Plus shipping costs $50.00
100 μg (More quantities available)
Shipping to: United States
Delivery in 13 to 17 Business Days
 
TIMP2 Reactivity: Human, Rat, Mouse, Cow, Rabbit, Zebrafish (Danio rerio), Guinea Pig, Horse, Pig, Monkey WB Host: Rabbit Polyclonal unconjugated
Catalog No. ABIN6745437
$690.07
Plus shipping costs $50.00
100 μL
Shipping to: United States
Delivery in 11 to 15 Business Days
 
TIMP2 Reactivity: Human, Guinea Pig, Horse, Pig, Monkey, Sheep, Bat WB Host: Rabbit Polyclonal unconjugated
Catalog No. ABIN6745438
$690.07
Plus shipping costs $50.00
100 μL
Shipping to: United States
Delivery in 11 to 15 Business Days
 
TIMP2 Reactivity: Human, Rat, Mouse, Cow, Rabbit, Zebrafish (Danio rerio), Guinea Pig, Dog, Horse, Pig, Monkey, Sheep WB Host: Rabbit Polyclonal unconjugated
Catalog No. ABIN6747820
$690.07
Plus shipping costs $50.00
100 μL
Shipping to: United States
Delivery in 11 to 15 Business Days
 
TIMP2 Reactivity: Human WB Host: Rabbit Monoclonal 24GB2165 unconjugated Recombinant Antibody
Catalog No. ABIN7799376
$394.31
Plus shipping costs $50.00
100 μL
Shipping to: United States
Delivery in 3 to 5 Business Days
 
TIMP2 Reactivity: Rat WB, IHC, IP, ICC Host: Rabbit Polyclonal unconjugated
Catalog No. ABIN1078587
$186.00
Plus shipping costs $50.00
100 μL (More quantities available)
Shipping to: United States
Delivery in 15 to 19 Business Days
 
TIMP2 Reactivity: Horse WB, IHC, IP, ICC Host: Rabbit Polyclonal unconjugated
Catalog No. ABIN1172371
$272.00
Plus shipping costs $50.00
100 μL (More quantities available)
Shipping to: United States
Delivery in 15 to 19 Business Days
 
TIMP2 Reactivity: Human WB Host: Rabbit Monoclonal 4G7 unconjugated
Catalog No. ABIN6945172
$490.77
Plus shipping costs $50.00
100 μL
Shipping to: United States
Delivery in 8 to 12 Business Days
 
TIMP2 Reactivity: Human, Rat WB, IF (cc), IF (p) Host: Rabbit Polyclonal AbBy Fluor® 555
Catalog No. ABIN917774
$458.46
Plus shipping costs $50.00
100 μL
Shipping to: United States
Delivery in 16 to 20 Business Days
 
TIMP2 Reactivity: Human, Rat WB, IF (cc), IF (p) Host: Rabbit Polyclonal AbBy Fluor® 647
Catalog No. ABIN917773
$458.46
Plus shipping costs $50.00
100 μL
Shipping to: United States
Delivery in 16 to 20 Business Days
 
TIMP2 Reactivity: Human, Rat WB, IF (cc), IF (p) Host: Rabbit Polyclonal AbBy Fluor® 488
Catalog No. ABIN917771
$458.46
Plus shipping costs $50.00
100 μL
Shipping to: United States
Delivery in 16 to 20 Business Days
 
TIMP2 Reactivity: Human, Rat WB, IF (cc), IF (p) Host: Rabbit Polyclonal AbBy Fluor® 350
Catalog No. ABIN917770
$458.46
Plus shipping costs $50.00
100 μL
Shipping to: United States
Delivery in 16 to 20 Business Days
 
TIMP2 Reactivity: Rat WB, IHC, ICC Host: Rabbit Polyclonal Biotin
Catalog No. ABIN7698587
$373.22
Plus shipping costs $50.00
200 μL (More quantities available)
Shipping to: United States
Delivery in 13 to 17 Business Days
 
TIMP2 Reactivity: Rat WB, IHC, IP, ICC Host: Rabbit Polyclonal unconjugated
Catalog No. ABIN7642727
$267.06
Plus shipping costs $50.00
100 μL (More quantities available)
Shipping to: United States
Delivery in 13 to 17 Business Days
 
TIMP2 Reactivity: Horse WB, IHC, IP, ICC Host: Rabbit Polyclonal unconjugated
Catalog No. ABIN7642722
$353.19
Plus shipping costs $50.00
100 μL (More quantities available)
Shipping to: United States
Delivery in 13 to 17 Business Days
 
  • Type Primary
    • Primary
  • Application
    • Western Blotting (WB)
    • Immunohistochemistry (IHC)
    • Immunofluorescence (Cultured Cells) (IF (cc))
    • Immunofluorescence (Paraffin-embedded Sections) (IF (p))
    • Immunohistochemistry (Formalin-fixed Paraffin-embedded Sections) (IHC (fp))
    • ELISA
    • Immunofluorescence (IF)
    • Immunohistochemistry (Paraffin-embedded Sections) (IHC (p))
    • Flow Cytometry (FACS)
    • Immunocytochemistry (ICC)
    • Immunoprecipitation (IP)
    • Immunohistochemistry (Frozen Sections) (IHC (fro))
    • Immunofluorescence (fixed cells) (IF/ICC)
    • Immunohistochemistry (Formalin-fixed Sections) (IHC (f))
    • Staining Methods (StM)
    • Coating (Coat)
    • Enzyme Immunoassay (EIA)
    • Immunochromatography (IC)
    • Luminex Assay (LMNX)
  • Reactivity
    • Human
    • Rat
    • Mouse
    • Rabbit
    • Cow
    • Guinea Pig
    • Zebrafish (Danio rerio)
    • Dog
    • Horse
    • Pig
    • Monkey
    • Sheep
    • Chicken
    • Hamster
    • Bat
    • Gibbon
    • Gorilla
    • Mammalian
  • Cited in publications
  • Images available
  • Preservative free only
  • Carrier free only
  • Host
    • Rabbit
    • Mouse
    • Goat
    • Guinea Pig
    • Sheep
  • Clonality
    • Polyclonal
    • Monoclonal
  • Clone
    • 3A4
    • TIMP2-2044
    • rTIMP2-2335
    • TIMP2-2488R
    • 1C3
    • F27P3A4
    • 11C1081
    • 1A6
    • 24GB2165
    • 25GB8050
    • 4C7
    • 4G7
    • 5D7
    • AADE-20
    • OTI1A6
    • SPM356
  • Binding Specificity
    • AA 56-66
    • N-Term
    • AA 141-220
    • AA 31-130
    • AA 131-220
    • AA 48-220
    • AA 27-220
    • C-Term
    • AA 30-220
    • AA 1-220
    • AA 2-88
    • AA 33-153
    • AA 205-220
    • Internal Region
    • AA 1-126
    • AA 100-200
    • AA 130-179
    • AA 178-193
    • AA 21-70
    • AA 27-221
    • AA 35-220
    • AA 40-120
    • AA 40-89
    • AA 51-150
    • Ala47
    • Center
    • Thr135
  • Conjugate
    • Un-conjugated
    • Biotin
    • FITC
    • Alexa Fluor 488
    • Alexa Fluor 555
    • Alexa Fluor 594
    • Alexa Fluor 647
    • Alexa Fluor 680
    • Alexa Fluor 750
    • CF®405S
    • CF®488A
    • CF®568
    • CF®594
    • CF®640R
    • CF®647
    • CF®740
    • HRP
    • AbBy Fluor® 350
    • AbBy Fluor® 488
    • AbBy Fluor® 555
    • AbBy Fluor® 594
    • AbBy Fluor® 647
    • AbBy Fluor® 680
    • AbBy Fluor® 750
    • Cy3
    • Cy5
    • Cy5.5
    • Cy7
    • APC
    • Magnetic Particles
    • Sepharose
    • Alexa Fluor 350
    • Alexa Fluor 405
  • Isotype
    • IgG
    • IgG1
    • kappa
    • IgG2a kappa
    • IgG2a
    • IgG1 kappa
  • Protein Type
    • Recombinant Antibody
  • Format
    • Liquid
    • Lyophilized
  • Grade
    • Cell Culture Grade
    • KD Validated
    • Recent
  • Supplier
    • antibodies-online
    • Biotium
    • Signalway
    • Cloud-Clone
    • Abbexa
    • NSJ Bioreagents
    • Aviva Systems Biology
    • Boster Bio
    • Cohesion Biosciences
    • RayBiotech
    • USBio
    • Acris
    • Assay Biotechnology Company, Inc.
    • Biomatik
    • CUSABIO
    • Covalab
    • OriGene
    • ProSci
    • ProteoGenix

Latest Publications for our Metalloproteinase Inhibitor 2 Antibodies

Tang, Pei, Yang, Wang, Wang, Gao, Li, Yang, Yang: "The inhibition of calpains ameliorates vascular restenosis through MMP2/TGF-β1 pathway." in: Scientific reports, Vol. 6, pp. 29975, (2018) (PubMed).

Liu, Li, Liang, Li, Jiang, Chu, Yang: "Hydrogen sulfide attenuates myocardial fibrosis in diabetic rats through the JAK/STAT signaling pathway." in: International journal of molecular medicine, Vol. 41, Issue 4, pp. 1867-1876, (2018) (PubMed).

Wang, Ma, Wang, Zhu, Yang, Zeng, Yuan, Liu, Gao, Chen, Jia: "Triptonide inhibits the pathological functions of gastric cancer-associated fibroblasts." in: Biomedicine & pharmacotherapy, Vol. 96, pp. 757-767, (2018) (PubMed).

Varghese, Joseph, S R, B S, Sreelekha: "The inhibitory effect of anti- tumor polysaccharide from Punica granatum on metastasis." in: International journal of biological macromolecules, Vol. 103, pp. 1000-1010, (2017) (PubMed).

Zeng, Li, Li, Li, Xiao, Chu, Yang: "Effect of Novel Gasotransmitter hydrogen sulfide on renal fibrosis and connexins expression in diabetic rats." in: Bioengineered, Vol. 7, Issue 5, pp. 314-320, (2017) (PubMed).

et al.: "Erratum: Long-term intravenous administration of carboxylated single-walled carbon nanotubes induces persistent accumulation in the lungs and pulmonary fibrosis via the nuclear factor-kappa B pathway ..." in: International journal of nanomedicine, Vol. 12, pp. 1515, (2017) (PubMed).

Wang, Zhang, Sun, Wang, Yang, Yang, Zhang, Luo, Wang, Jiang, Zeng, Cai, Bai: "Intra-articular Delivery of Antago-miR-483-5p Inhibits Osteoarthritis by Modulating Matrilin 3 and Tissue Inhibitor of Metalloproteinase 2." in: Molecular therapy : the journal of the American Society of Gene Therapy, Vol. 25, Issue 3, pp. 715-727, (2017) (PubMed).

Silva, Nascimento, Pereira, Siqueira, Brum, Jaeger, Miyabara: "β2-Adrenoceptor is involved in connective tissue remodeling in regenerating muscles by decreasing the activity of MMP-9." in: Cell and tissue research, Vol. 365, Issue 1, pp. 173-86, (2016) (PubMed).

Chuang, Yeh, Yeh, Lin, Wang, Wang: "Quercetin metabolites inhibit MMP-2 expression in A549 lung cancer cells by PPAR-γ associated mechanisms." in: The Journal of nutritional biochemistry, Vol. 33, pp. 45-53, (2016) (PubMed).

Fan, Jiang, Li, Fang, Xu, Zheng: "MMP-1/2 and TIMP-1/2 expression levels, and the levels of collagenous and elastic fibers correlate with disease progression in a hamster model of tongue cancer." in: Oncology letters, Vol. 11, Issue 1, pp. 63-68, (2016) (PubMed).

Aliases for Metalloproteinase Inhibitor 2 Antibodies

TIMP metallopeptidase inhibitor 2 (TIMP2) Antibodies
TIMP metallopeptidase inhibitor 2b (timp2b) Antibodies
TIMP metallopeptidase inhibitor 2 (Timp2) Antibodies
tissue inhibitor of metalloproteinase 2 (Timp2) Antibodies
TIMP metallopeptidase inhibitor 2a (timp2a) Antibodies
TIMP metallopeptidase inhibitor 2 L homeolog (timp2.L) Antibodies
CSC-21K Antibodies
D11Bwg1104e Antibodies
DDC8 Antibodies
etID32613.12 Antibodies
fa96h09 Antibodies
Timp-2 Antibodies
TIMP-2 Antibodies
timp2 Antibodies
timp2l Antibodies
wu:fa96h09 Antibodies
zgc:65967 Antibodies
zgc:85799 Antibodies
zgc:136726 Antibodies
You are here:
Chat with us!