Phone:
+1 877 302 8632
Fax:
+1 888 205 9894 (Toll-free)
E-Mail:
orders@antibodies-online.com

alpha Adaptin Antibodies

(Adaptor-Related Protein Complex 2, alpha 1 Subunit (AP2A1))

Choose one of 53 alpha Adaptin antibodies from our product listing based on 2 publications and 20 validation images.

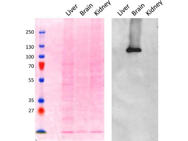
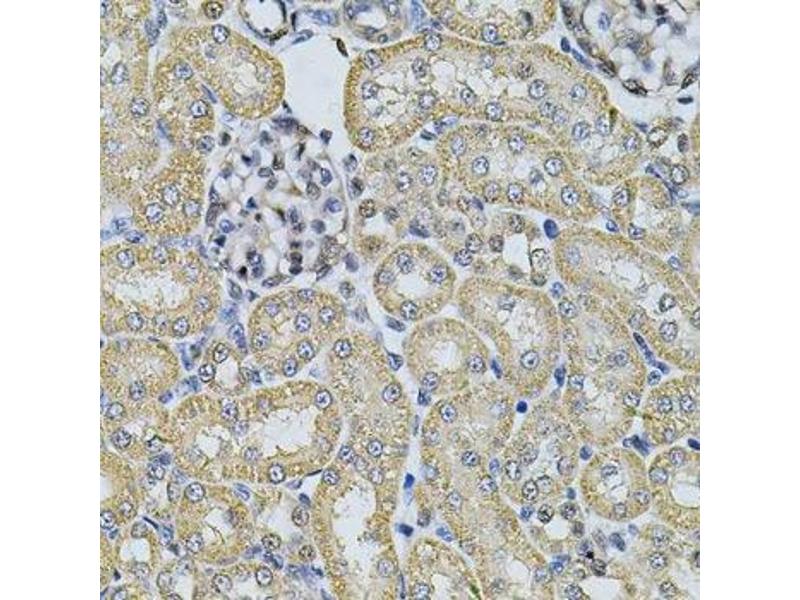
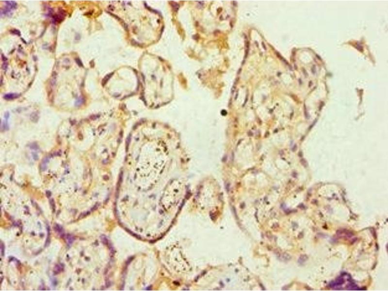
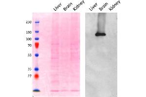
Explore reliable alpha Adaptin antibodies from a broad selection of renowned manufacturers. Our portfolio enables accurate alpha Adaptin detection across multiple species, including Human, Mouse, Rat, Cow, Guinea Pig, Horse, Rabbit, Dog, Monkey, Pig, and supports diverse research applications such as WB, IHC, ELISA, IF, FACS.

Quickly find the right antibody using our search, filter, and comparison tools. Each product page provides detailed validation data, literature references, and customer feedback. Unlike comparison-only resources, you can conveniently purchase antibodies directly through our site. Choose from polyclonal, monoclonal, or recombinant alpha Adaptin antibodies derived from various hosts such as Rabbit, Mouse, Goat. Browse our products below and order directly to support your research with confidence.

Alternative names for alpha Adaptin are AP2A1, ap2a1, Ap2a1, EDI_093420, EDI_259990.

53 results

Verified AP2A1 Reactivity: Human WB, ELISA Host: Goat Polyclonal unconjugated
Pubmed 1 reference
Catalog No. ABIN5539681
$488.25
Plus shipping costs $50.00
100 μg
Shipping to: United States
Delivery in 1 to 3 Business Days
 
AP2A1 Reactivity: Human WB Host: Rabbit Polyclonal unconjugated
Pubmed 1 reference
Catalog No. ABIN6136952
$383.00
Plus shipping costs $50.00
100 μL (More quantities available)
Shipping to: United States
Delivery in 7 to 10 Business Days
 
AP2A1 Reactivity: Human WB, IF Host: Rabbit Monoclonal unconjugated
Catalog No. ABIN1681069
$393.00
Plus shipping costs $50.00
100 μg (More quantities available)
Shipping to: United States
Delivery in 7 to 10 Business Days
 
AP2A1 Reactivity: Human, Mouse WB, IHC, ELISA Host: Rabbit Polyclonal unconjugated
Catalog No. ABIN7244462
$538.80
Plus shipping costs $50.00
200 μL (More quantities available)
Shipping to: United States
Delivery in 11 to 15 Business Days
 
AP2A1 Reactivity: Human WB, IHC (p) Host: Rabbit Polyclonal RB34053 unconjugated
Catalog No. ABIN657826
$451.00
Plus shipping costs $50.00
400 μL (More quantities available)
Shipping to: United States
Delivery in 10 to 12 Business Days
 
AP2A1 Reactivity: Human IHC, ELISA Host: Rabbit Polyclonal unconjugated
Catalog No. ABIN7144361
$394.68
Plus shipping costs $50.00
100 μL (More quantities available)
Shipping to: United States
Delivery in 13 to 17 Business Days
 
AP2A1 Reactivity: Human, Mouse, Rat, Horse, Rabbit, Guinea Pig, Monkey WB Host: Rabbit Polyclonal unconjugated
Catalog No. ABIN6746729
$690.07
Plus shipping costs $50.00
100 μL
Shipping to: United States
Delivery in 11 to 15 Business Days
 
AP2A1 Reactivity: Human WB, IP Host: Rabbit Polyclonal unconjugated
Catalog No. ABIN7449957
$538.15
Plus shipping costs $50.00
100 μg (More quantities available)
Shipping to: United States
Delivery in 3 to 5 Business Days
 
AP2A1 Reactivity: Human WB Host: Rabbit Polyclonal unconjugated
Catalog No. ABIN5561181
$523.62
Plus shipping costs $50.00
50 μL
Shipping to: United States
Delivery in 3 to 5 Business Days
 
AP2A1 Reactivity: Human WB, IHC, ELISA Host: Rabbit Polyclonal unconjugated
Catalog No. ABIN7567968
$355.94
Plus shipping costs $50.00
100 μg
Shipping to: United States
Delivery in 12 to 15 Business Days
 
AP2A1 Reactivity: Cow WB Host: Mouse Monoclonal Ada-1 unconjugated
Catalog No. ABIN2133497
$1,688.36
Plus shipping costs $50.00
100 μg
Shipping to: United States
Delivery in 9 to 12 Business Days
 
AP2A1 Reactivity: Human, Rat IP Host: Mouse Monoclonal Ada-1 Sepharose
Catalog No. ABIN1690707
$453.75
Plus shipping costs $50.00
100 μg
Shipping to: United States
Delivery in 4 to 7 Business Days
 
AP2A1 Reactivity: Human, Rat IP Host: Mouse Monoclonal Ada-1 Magnetic Particles
Catalog No. ABIN1690360
$453.75
Plus shipping costs $50.00
100 μg
Shipping to: United States
Delivery in 4 to 7 Business Days
 
Verified AP2A1 Reactivity: Human, Mouse WB, ELISA Host: Goat Polyclonal Biotin
Catalog No. ABIN5539682
$488.25
Plus shipping costs $50.00
100 μg
Shipping to: United States
Delivery in 1 to 3 Business Days
 
AP2A1 Reactivity: Human, Rat, Cow WB Host: Mouse Monoclonal Ada-1 unconjugated
Catalog No. ABIN1502014
$624.07
Plus shipping costs $50.00
100 μg
Shipping to: United States
Delivery in 11 to 15 Business Days
 
AP2A1 Reactivity: Human, Rat, Cow IP Host: Mouse Monoclonal Ada-1 Sepharose
Catalog No. ABIN1502019
$651.93
Plus shipping costs $50.00
100 μg
Shipping to: United States
Delivery in 11 to 15 Business Days
 
AP2A1 Reactivity: Human, Rat, Cow IP Host: Mouse Monoclonal Ada-1 Magnetic Particles
Catalog No. ABIN1502018
$651.93
Plus shipping costs $50.00
100 μg
Shipping to: United States
Delivery in 11 to 15 Business Days
 
AP2A1 Reactivity: Human, Rat, Cow WB Host: Mouse Monoclonal unconjugated
Catalog No. ABIN602731
$1,137.40
Plus shipping costs $50.00
100 μg
Shipping to: United States
Delivery in 11 to 15 Business Days
 
AP2A1 Reactivity: Human WB, IHC, ELISA Host: Rabbit Polyclonal unconjugated
Catalog No. ABIN2616700
$1,153.53
Plus shipping costs $50.00
200 μL
Shipping to: United States
Delivery in 11 to 15 Business Days
 
AP2A1 Reactivity: Human WB, IHC, IHC (p) Host: Rabbit Polyclonal unconjugated
Catalog No. ABIN1805898
$643.13
Plus shipping costs $50.00
400 μL
Shipping to: United States
Delivery in 11 to 15 Business Days
 
  • Type Primary
    • Primary
  • Application
    • Western Blotting (WB)
    • Immunohistochemistry (IHC)
    • ELISA
    • Immunofluorescence (IF)
    • Flow Cytometry (FACS)
    • Immunocytochemistry (ICC)
    • Immunoprecipitation (IP)
    • Immunohistochemistry (Paraffin-embedded Sections) (IHC (p))
  • Reactivity
    • Human
    • Mouse
    • Rat
    • Cow
    • Guinea Pig
    • Horse
    • Rabbit
    • Dog
    • Monkey
    • Pig
  • Cited in publications
  • Images available
  • Preservative free only
  • Carrier free only
  • Host
    • Rabbit
    • Mouse
    • Goat
  • Clonality
    • Polyclonal
    • Monoclonal
  • Clone
    • Ada-1
    • AFDO-1
    • RB34053
  • Binding Specificity
    • AA 706-735
    • C-Term
    • AA 1-260
    • AA 706-727
    • AA 22-199
    • AA 3-14
    • AA 600-650
    • AA 612-661
    • AA 705-735
    • AA 737-977
    • AA 785-977
    • Subunit alpha 1
  • Conjugate
    • Un-conjugated
    • Biotin
    • Alexa Fluor 488
    • Alexa Fluor 555
    • Alexa Fluor 594
    • Alexa Fluor 647
    • Alexa Fluor 680
    • Alexa Fluor 750
    • Magnetic Particles
    • Sepharose
    • APC
    • Alexa Fluor 350
    • Alexa Fluor 405
    • Alkaline Phosphatase (AP)
    • FITC
    • HRP
    • PE
  • Isotype
    • IgG
    • IgG2a
    • Ig Fraction
  • Protein Type
    • Recombinant Antibody
  • Format
    • Liquid
    • Lyophilized
  • Grade
    • Verified
  • Supplier
    • antibodies-online
    • Signalway
    • Boster Bio
    • USBio
    • Aviva Systems Biology
    • CUSABIO
    • Cohesion Biosciences
    • ProteoGenix
    • Wuhan Fine biotech

Latest Publications for our alpha Adaptin Antibodies

Buser, Ritz, Moes, Tostado, Frank, Spiess, Mariani, Jenö, Boulay, Hutter: "Quantitative proteomics reveals reduction of endocytic machinery components in gliomas." in: EBioMedicine, Vol. 46, pp. 32-41, (2020) (PubMed).

Wu, Xiong, Li, Yang, Ge et al.: "Integrated Proteomic and Transcriptomic Analysis Reveals Long Noncoding RNA HOX Transcript Antisense Intergenic RNA (HOTAIR) Promotes Hepatocellular Carcinoma Cell Proliferation by Regulating Opioid ..." in: Molecular & cellular proteomics : MCP, Vol. 17, Issue 1, pp. 146-159, (2019) (PubMed).

Rudinskiy, Grishchuk, Vaslin, Puyal, Delacourte, Hirling, Clarke, Luthi-Carter: "Calpain hydrolysis of alpha- and beta2-adaptins decreases clathrin-dependent endocytosis and may promote neurodegeneration." in: The Journal of biological chemistry, Vol. 284, Issue 18, pp. 12447-58, (2009) (PubMed).

Jarousse, Wilson, Arac, Rizo, Kelly: "Endocytosis of synaptotagmin 1 is mediated by a novel, tryptophan-containing motif." in: Traffic (Copenhagen, Denmark), Vol. 4, Issue 7, pp. 468-78, (2003) (PubMed).

Wasiak, Legendre-Guillemin, Puertollano, Blondeau, Girard, de Heuvel, Boismenu, Bell, Bonifacino, McPherson: "Enthoprotin: a novel clathrin-associated protein identified through subcellular proteomics." in: The Journal of cell biology, Vol. 158, Issue 5, pp. 855-62, (2002) (PubMed).

Santolini, Puri, Salcini, Gagliani, Pelicci, Tacchetti, Di Fiore: "Numb is an endocytic protein." in: The Journal of cell biology, Vol. 151, Issue 6, pp. 1345-52, (2001) (PubMed).

Jarousse, Kelly: "The AP2 binding site of synaptotagmin 1 is not an internalization signal but a regulator of endocytosis." in: The Journal of cell biology, Vol. 154, Issue 4, pp. 857-66, (2001) (PubMed).

Teo, Tan, Lim, Manser: "The tyrosine kinase ACK1 associates with clathrin-coated vesicles through a binding motif shared by arrestin and other adaptors." in: The Journal of biological chemistry, Vol. 276, Issue 21, pp. 18392-8, (2001) (PubMed).

Waelter, Scherzinger, Hasenbank, Nordhoff, Lurz, Goehler, Gauss, Sathasivam, Bates, Lehrach, Wanker: "The huntingtin interacting protein HIP1 is a clathrin and alpha-adaptin-binding protein involved in receptor-mediated endocytosis." in: Human molecular genetics, Vol. 10, Issue 17, pp. 1807-17, (2001) (PubMed).

Robinson: "Cloning of cDNAs encoding two related 100-kD coated vesicle proteins (alpha-adaptins)." in: The Journal of cell biology, Vol. 108, Issue 3, pp. 833-42, (1989) (PubMed).

Aliases for alpha Adaptin Antibodies

adaptor related protein complex 2 alpha 1 subunit (AP2A1) Antibodies
adaptor related protein complex 2 alpha 1 subunit (ap2a1) Antibodies
adaptor-related protein complex 2, alpha 1 subunit (Ap2a1) Antibodies
AP-2 complex subunit alpha-1 (EDI_093420) Antibodies
AP-2 complex subunit alpha-1 (EDI_259990) Antibodies
adaptor related protein complex 2 alpha 1 subunit (Ap2a1) Antibodies
ADTAA Antibodies
adtaa Antibodies
Adtaa Antibodies
AP2-ALPHA Antibodies
ap2-alpha Antibodies
AP2A1 Antibodies
CLAPA1 Antibodies
clapa1 Antibodies
You are here:
Chat with us!