HRAS antibody
Quick Overview for HRAS antibody (ABIN1498715)
Target
See all HRAS AntibodiesReactivity
Host
Clonality
Conjugate
Application
Clone
-
-
Specificity
- Human HRAS / K-RAS
-
Purification
- Protein A/G purified
-
Immunogen
-
Full length human recombinant protein of human HRAS(NP_005334) produced in HEK293T cell.
Type of Immunogen: Recombinant protein -
Isotype
- IgG1
-
-
-
-
Application Notes
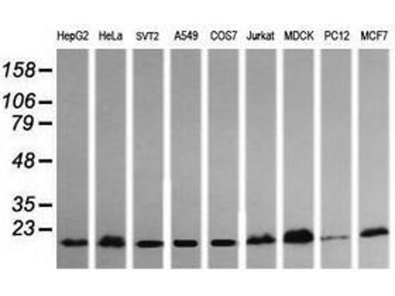
- Approved: IF (1:100), IHC, IHC-P (1:150), WB (1:200 - 1:4000)
-
Comment
-
Target Species of Antibody: Human
-
Restrictions
- For Research Use only
-
-
-
Format
- Liquid
-
Concentration
- Lot specific
-
Buffer
- PBS, pH 7.3, 1 % BSA, 50 % glycerol, 0.02 % sodium azide
-
Preservative
- Sodium azide
-
Precaution of Use
- This product contains Sodium azide: a POISONOUS AND HAZARDOUS SUBSTANCE which should be handled by trained staff only.
-
Handling Advice
- Minimize freezing and thawing.
-
Storage
- -20 °C
-
Storage Comment
- Store at -20°C. Avoid freeze-thaw cycles.
-
-
- HRAS (HRas proto-oncogene, GTPase (HRAS))
-
Alternative Name
- HRAS / H-Ras
-
Background
-
Name/Gene ID: HRAS
Subfamily: RAS oncogene
Family: Ras GTPase superfamily IPR001806
Synonyms: HRAS, C-H-RAS, C-has/bas p21 protein, C-ras-Ki-2 activated oncogene, C-HA-RAS1, CTLO, H-ras, H-RASIDX, GTP- and GDP-binding peptide B, GTPase HRas, H-Ras-1, HAMSV, HRAS1, K-RAS, Ha-Ras, Ha-Ras1 proto-oncoprotein, Transforming protein p21, N-ras, p21ras, RASH1, C-BAS/HAS, C-ha-ras, p19 H-RasIDX protein -
Gene ID
- 3265
-
NCBI Accession
- NP_005334
-
UniProt
- P01112
-
Pathways
- p53 Signaling, MAPK Signaling, RTK Signaling, Fc-epsilon Receptor Signaling Pathway, EGFR Signaling Pathway, Neurotrophin Signaling Pathway, Hepatitis C, Autophagy, Signaling Events mediated by VEGFR1 and VEGFR2, Signaling of Hepatocyte Growth Factor Receptor, Regulation of long-term Neuronal Synaptic Plasticity, VEGF Signaling, BCR Signaling
Target
-