Phone:
+1 877 302 8632
Fax:
+1 888 205 9894 (Toll-free)
E-Mail:
orders@antibodies-online.com

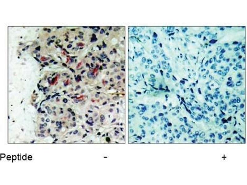
JAK1 antibody (Tyr1022)

The Rabbit Polyclonal anti-JAK1 antibody is suitable to detect JAK1 in samples from Human, Mouse and Rat. It has been validated for WB and IHC (p).
Catalog No. ABIN197300
$588.00
Plus shipping costs $50.00
Shipping to: United States
Delivery in 1 to 2 Business Days

Quick Overview for JAK1 antibody (Tyr1022) (ABIN197300)

Target

See all JAK1 Antibodies
JAK1 (Janus Kinase 1 (JAK1))

Reactivity

  • 121
  • 87
  • 66
  • 2
  • 2
  • 2
  • 2
Human, Mouse, Rat

Host

  • 98
  • 27
  • 1
  • 1
Rabbit

Clonality

  • 77
  • 50
Polyclonal

Conjugate

  • 58
  • 8
  • 4
  • 3
  • 3
  • 3
  • 3
  • 3
  • 3
  • 3
  • 3
  • 3
  • 3
  • 3
  • 3
  • 3
  • 3
  • 3
  • 3
  • 2
  • 2
  • 2
  • 2
  • 1
This JAK1 antibody is un-conjugated

Application

  • 96
  • 46
  • 29
  • 20
  • 17
  • 17
  • 16
  • 14
  • 11
  • 11
  • 3
  • 2
  • 2
  • 1
Western Blotting (WB), Immunohistochemistry (Paraffin-embedded Sections) (IHC (p))
  • Binding Specificity

    • 26
    • 26
    • 7
    • 7
    • 6
    • 2
    • 2
    • 2
    • 2
    • 2
    • 2
    • 1
    • 1
    • 1
    • 1
    • 1
    • 1
    • 1
    • 1
    • 1
    • 1
    • 1
    • 1
    • 1
    • 1
    • 1
    Tyr1022

    Specificity

    The antibody was affinity-purified from rabbit antiserum by affinity-chromatography using epitope-specific immunogen. JAK1 antibody detects endogenous levels of total JAK1 protein.

    Purification

    Immunoaffinity chromatography.

    Immunogen

    The antiserum was produced against synthesized non-phosphopeptide derived from human JAK1 around the phosphorylation site of tyrosine 1022 (K-E-Yp-Y-T).
  • Application Notes

    Suitable for use in Western blot (1: 500-1: 1000) and Immunohistochemistry (1: 50-1: 100).
    Other applications not tested.
    Optimal dilutions are dependent on conditions and should be determined by the user.

    Restrictions

    For Research Use only
  • Concentration

    1.0 mg/mL

    Buffer

    PBS (without Mg2+ and Ca2+), pH 7.4, 150 mM NaCl, 0.02 % Sodium Azide and 50 % Glycerol.

    Preservative

    Sodium azide

    Precaution of Use

    This product contains sodium azide: a POISONOUS AND HAZARDOUS SUBSTANCE which should be handled by trained staff only.

    Handling Advice

    Avoid repeated freezing and thawing.

    Storage

    -20 °C

    Storage Comment

    Store the antibody (in aliquots) at -20 °C.
  • Target

    JAK1 (Janus Kinase 1 (JAK1))

    Alternative Name

    Tyrosine-Protein Kinase JAK1

    Background

    Synonyms: JAK-1, JAK1A, JAK1B, Janus kinase 1

    Gene ID

    3716

    NCBI Accession

    NP_002218

    UniProt

    P23458

    Pathways

    JAK-STAT Signaling, RTK Signaling, Interferon-gamma Pathway, Hepatitis C, Toll-Like Receptors Cascades, Unfolded Protein Response
You are here:
Chat with us!