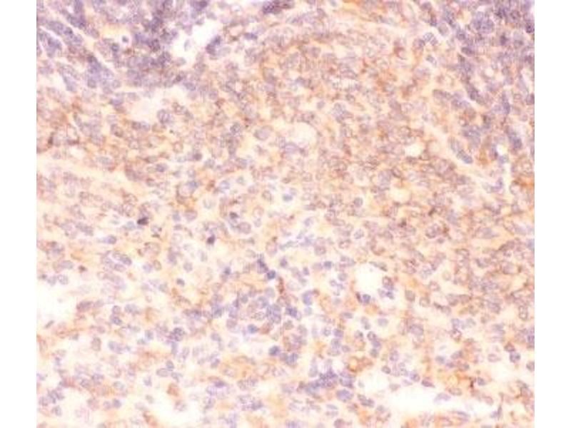
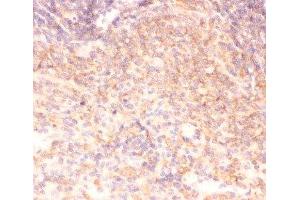
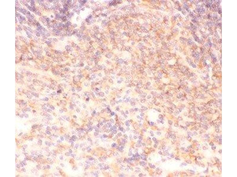
The stated application concentrations are suggested starting amounts. Titration of the IKK alpha antibody may be required due to differences in protocols and secondary/substrate sensitivity.\. Western blot: 0.5-1 μg/mL,IHC (Paraffin): 0.5-1 μg/mL
Restrictions
For Research Use only
Buffer
0.5 mg/mL if reconstituted with 0.2 mL sterile DI water
Storage
-20 °C
Storage Comment
After reconstitution, the IKK alpha antibody can be stored for up to one month at 4°C. For long-term, aliquot and store at -20°C. Avoid repeated freezing and thawing.
Inhibitor of nuclear factor kappa-B kinase subunit alpha, also known as conserved helix-loop-helix ubiquitous kinase (CHUK) or IKBKA, is a protein kinase that in humans is encoded by the CHUK gene. It is mapped to 10q24.31. This gene encodes a member of the serine/threonine protein kinase family. The encoded protein, a component of a cytokine-activated protein complex that is an inhibitor of the essential transcription factor NF-kappa-B complex, phosphorylates sites that trigger the degradation of the inhibitor via the ubiquination pathway, thereby activating the transcription factor. IKK alpha is part of the IkB kinase complex that plays an important role in regulating the NF-kB transcription factor. IKK alpha also has many additional cellular targets, and is thought to function independently of the NF-kB pathway to regulate epidermal differentiation.