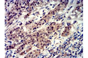
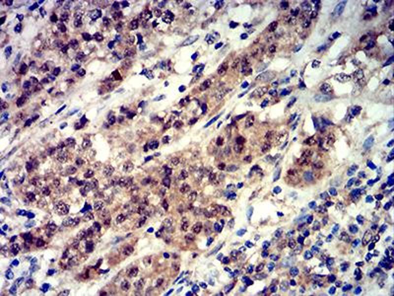
eIF4EBP1 antibody (pSer65)
Quick Overview for eIF4EBP1 antibody (pSer65) (ABIN5611114)
Target
See all eIF4EBP1 (EIF4EBP1) AntibodiesReactivity
Host
Clonality
Conjugate
Application
Clone
-
-
Binding Specificity
- pSer65
-
Purpose
- Phospho-4E-BP1 (Ser65) Antibody
-
Purification
- Purified antibody
-
Immunogen
- Synthesized peptide of human Phospho-4E-BP1 (Ser65).
-
Isotype
- IgG1
-
-
-
-
Application Notes
-
ELISA: 1/10000
FCM: 1/200 - 1/400
ICC: 1/100 - 1/500
-
Restrictions
- For Research Use only
-
-
-
Format
- Liquid
-
Buffer
- Purified antibody in PBS with 0.05 % sodium azide.
-
Preservative
- Sodium azide
-
Precaution of Use
- This product contains Sodium azide: a POISONOUS AND HAZARDOUS SUBSTANCE which should be handled by trained staff only.
-
Storage
- 4 °C,-20 °C
-
Storage Comment
- Store at 4°C short term. Aliquot and store at -20°C long term. Avoid freeze/thaw cycles.
-
-
- eIF4EBP1 (EIF4EBP1) (Eukaryotic Translation Initiation Factor 4E Binding Protein 1 (EIF4EBP1))
-
Alternative Name
- 4E-BP1
-
Background
-
This gene encodes one member of a family of translation repressor proteins. The protein directly interacts with eukaryotic translation initiation factor 4E (eIF4E), which is a limiting component of the multisubunit complex that recruits 40S ribosomal subunits to the 5' end of mRNAs. Interaction of this protein with eIF4E inhibits complex assembly and represses translation. This protein is phosphorylated in response to various signals including UV irradiation and insulin signaling, resulting in its dissociation from eIF4E and activation of mRNA translation.
-
Molecular Weight
- 12.6 kDa
-
Gene ID
- 1978
-
UniProt
- Q13541
-
Pathways
- MAPK Signaling, PI3K-Akt Signaling, RTK Signaling, AMPK Signaling, Regulation of Cell Size, BCR Signaling
Target
-