AKT1 antibody (AA 121-170)
Quick Overview for AKT1 antibody (AA 121-170) (ABIN6736701)
Target
See all AKT1 AntibodiesReactivity
Host
Clonality
Conjugate
Application
-
-
Binding Specificity
- AA 121-170
-
Specificity
- Human AKT1
-
Predicted Reactivity
- Percent identity by BLAST analysis: Human, Mouse, Rat, Dog, Chicken, Xenopus (100%) Pig (93%) Sheep, Bovine, Goat (86%).
-
Purification
- Immunoaffinity purified
-
Immunogen
-
Synthetic peptide located between aa121-170 of human AKT1 (P31749, NP_005154). Percent identity by BLAST analysis: Human, Chimpanzee, Gorilla, Gibbon, Monkey, Galago, Marmoset, Mouse, Rat, Hamster, Panda, Dog, Horse, Opossum, Guinea pig, Turkey, Zebra finch, Chicken, Xenopus (100%), Pig, Lizard (93%), Sheep, Goat, Bovine (86%), Baboon, Elephant, Rabbit, Salmon (85%).
Type of Immunogen: Synthetic peptide -
Isotype
- IgG
-
-
-
-
Application Notes
-
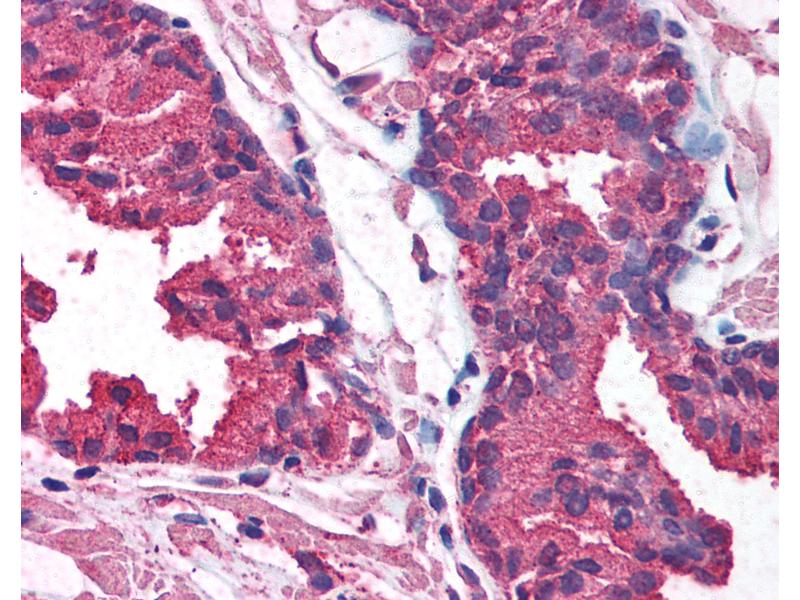
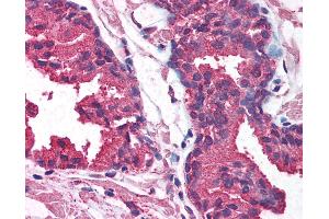
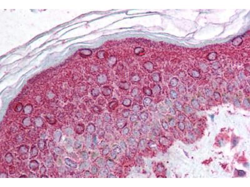
Approved: IHC, IHC-P (5 μg/mL), WB (0.2 - 1 μg/mL)
Usage: Immunohistochemistry: This antibody was validated for use in immunohistochemistry on a panel of 21 formalin-fixed, paraffin-embedded (FFPE) human tissues after heat induced antigen retrieval in pH 6.0 citrate buffer. After incubation with the primary antibody, slides were incubated with biotinylated secondary antibody, followed by alkaline phosphatase-streptavidin and chromogen. The stained slides were evaluated by a pathologist to confirm staining specificity. The optimal working concentration for this antibody was determined to be 5 μg/mL. -
Comment
-
Target Species of Antibody: Human
-
Restrictions
- For Research Use only
-
-
-
Format
- Lyophilized
-
Reconstitution
- Distilled water
-
Concentration
- Lot specific
-
Buffer
- Lyophilized from PBS with 2 % sucrose
-
Handling Advice
- Avoid repeat freeze-thaw cycles.
-
Storage
- 4 °C,-20 °C
-
Storage Comment
-
Long term: -20°C, the use of 50% glycerol is recommended if storing aliquots in -20°C for long term use (up to 1 year)
Short term (less than 1 week): 4°C. Avoid freeze-thaw cycles.
-
-
- AKT1 (V-Akt Murine Thymoma Viral Oncogene Homolog 1 (AKT1))
-
Alternative Name
- AKT1 / AKT
-
Background
-
Name/Gene ID: AKT1
Subfamily: RAC/AKT
Family: Protein Kinase
Synonyms: AKT1, AKT, AKT-1, C-AKT, Pan-AKT, PKB alpha, PKBalpha, Proto-oncogene c-Akt, Protein kinase B, Rac protein kinase alpha, PRKBA, Protein kinase B alpha, RAC-PK-alpha, PKB, PKB-ALPHA, RAC, RAC-ALPHA -
Gene ID
- 207
-
NCBI Accession
- NP_005154
-
UniProt
- P31749
-
Pathways
- PI3K-Akt Signaling, RTK Signaling, TCR Signaling, AMPK Signaling, Interferon-gamma Pathway, TLR Signaling, Fc-epsilon Receptor Signaling Pathway, EGFR Signaling Pathway, Neurotrophin Signaling Pathway, Response to Water Deprivation, Regulation of Actin Filament Polymerization, Carbohydrate Homeostasis, Glycosaminoglycan Metabolic Process, Cellular Glucan Metabolic Process, Regulation of Muscle Cell Differentiation, Cell-Cell Junction Organization, Regulation of Cell Size, Skeletal Muscle Fiber Development, Regulation of Carbohydrate Metabolic Process, Hepatitis C, Protein targeting to Nucleus, CXCR4-mediated Signaling Events, Signaling Events mediated by VEGFR1 and VEGFR2, Negative Regulation of intrinsic apoptotic Signaling, Thromboxane A2 Receptor Signaling, Signaling of Hepatocyte Growth Factor Receptor, Positive Regulation of fat Cell Differentiation, VEGFR1 Specific Signals, VEGF Signaling, Warburg Effect
Target
-