Recombinant p21 antibody
Quick Overview for Recombinant p21 antibody (ABIN6939040)
Target
See all p21 (CDKN1A) AntibodiesAntibody Type
Reactivity
Host
Clonality
Conjugate
Application
Clone
-
-
Specificity
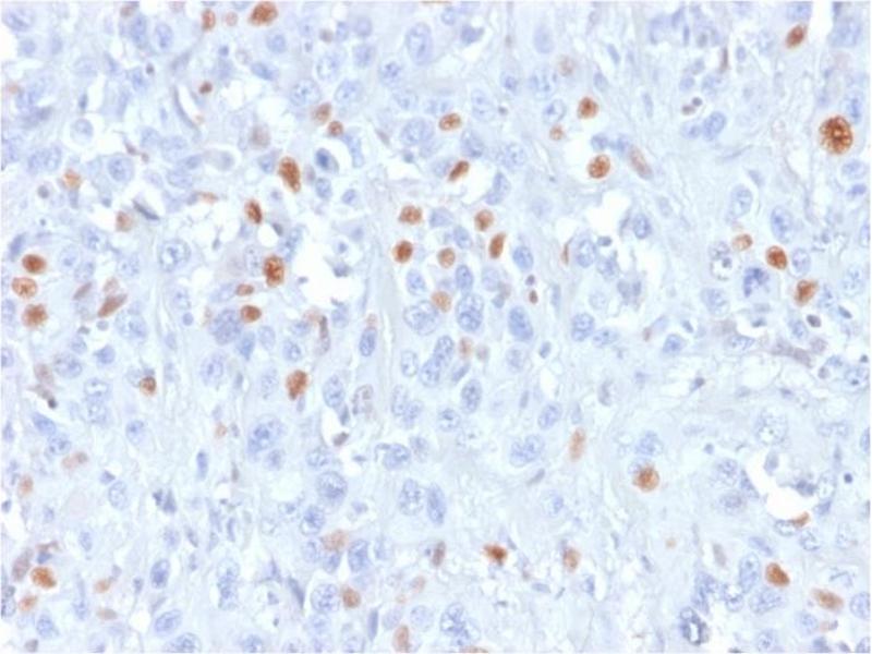
- This MAb recognizes a 21kDa protein, identified as the p21WAF1 tumor suppressor protein. This MAb is highly specific to p21 and shows no cross-reaction with other closely related mitotic inhibitors. p21WAF1 is a specific inhibitor of cdk's and a tumor suppressor involved in the pathogenesis of a variety of malignancies. The expression of this gene acts as an inhibitor of the cell cycle during G1 phase and is tightly controlled by the tumor suppressor protein p53. Its expression is induced by the wild type, but not mutant, p53 suppressor protein. Normal cells generally display a rather intense nuclear p21 expression. Loss of p21 expression has been reported in many carcinomas (gastric carcinoma, non-small cell lung carcinoma, thyroid carcinoma).
-
Cross-Reactivity (Details)
- Human. Does not react with Mouse or Rat,
-
Purification
- 200ug/ml of Ab Purified from Bioreactor Concentrate by Protein A/G.
-
Immunogen
- Recombinant full-length human CDKN1A protein
-
Isotype
- IgG1
-
-
-
-
Application Notes
-
Positive Control: HeLa cells. Skin, colon or breast carcinoma.
Known Application: Western Blot (1-2 μg/mL), Immunohistochemistry (Formalin-fixed) (1-2 μg/mL for 30 minutes at RT)(Staining of formalin-fixed tissues requires heating tissue sections in 10 mM Tris with 1 mM EDTA, pH 9.0, for 45 min at 95°C followed by cooling at RT for 20 minutes), Optimal dilution for a specific application should be determined.
-
Restrictions
- For Research Use only
-
-
-
Concentration
- 200 μg/mL
-
Buffer
- Prepared in 10 mM PBS with 0.05 % BSA and 0.05 % azide.
-
Preservative
- Sodium azide
-
Precaution of Use
- This product contains Sodium azide: a POISONOUS AND HAZARDOUS SUBSTANCE which should be handled by trained staff only.
-
Storage
- 4 °C,-80 °C
-
Storage Comment
- Antibody with azide - store at 2 to 8 °C. Antibody is stable for 24 months. Non-hazardous. Also available WITHOUT BSA & azide at 1.0mg/ml.
-
Expiry Date
- 24 months
-
-
- p21 (CDKN1A) (Cyclin-Dependent Kinase Inhibitor 1A (p21, Cip1) (CDKN1A))
-
Alternative Name
- CDKN1A
-
Background
-
Activating Fragment 1, CAP20, CDK-interacting protein 1, CDKI, CDKN1, CDKN1A, CIP1, Cyclin-dependent kinase inhibitor 1A (p21, Cip1), DNA Synthesis Inhibitor, MDA6, Melanoma Differentiation Associated Protein 6, p21Cip1/Waf1, PIC1, SDI1, SLC12A9, Wild type p53 activated fragment 1 (WAF1),p21WAF1 (Tumor Suppressor Protein)
Cellular localisation: Nuclear -
Molecular Weight
- 21kDa
-
Gene ID
- 1026, 370771
-
UniProt
- P38936
-
Pathways
- p53 Signaling, PI3K-Akt Signaling, Cell Division Cycle, AMPK Signaling, Fc-epsilon Receptor Signaling Pathway, EGFR Signaling Pathway, Neurotrophin Signaling Pathway, Mitotic G1-G1/S Phases, DNA Replication, Hepatitis C, Synthesis of DNA, Autophagy
Target
-