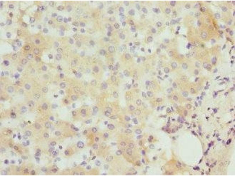
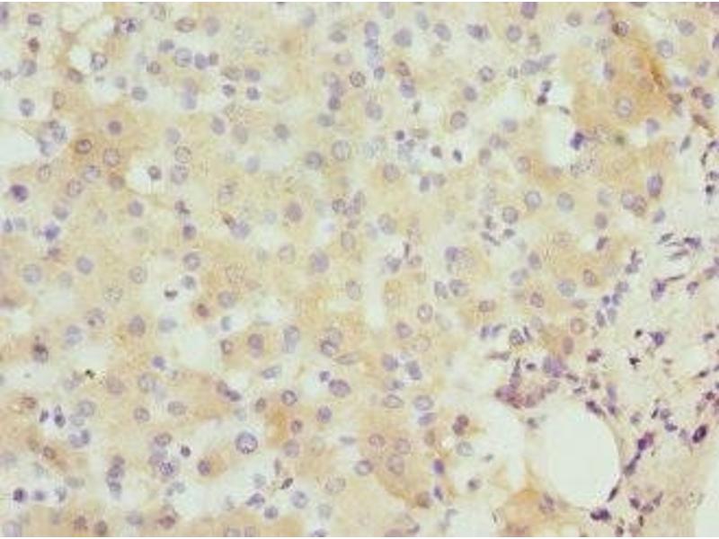
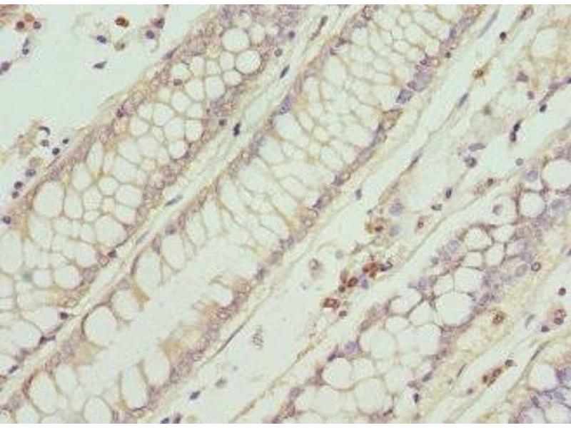
IFNB1 antibody (AA 22-187)
Quick Overview for IFNB1 antibody (AA 22-187) (ABIN7156584)
Target
See all IFNB1 AntibodiesReactivity
Host
Clonality
Conjugate
Application
-
-
Binding Specificity
- AA 22-187
-
Purpose
- IFNB1 Antibody
-
Purification
- Protein G purified
-
Purity
- >95 %
-
Immunogen
- Recombinant Human Interferon beta protein (22-187AA)
-
Isotype
- IgG
-
-
-
-
Application Notes
- Optimal working dilution should be determined by the investigator.
-
Restrictions
- For Research Use only
-
-
-
Format
- Liquid
-
Buffer
-
Preservative: 0.03 % Proclin 300
Constituents: 50 % Glycerol, 0.01M PBS, PH 7.4 -
Preservative
- ProClin
-
Precaution of Use
- This product contains ProClin: a POISONOUS AND HAZARDOUS SUBSTANCE which should be handled by trained staff only.
-
Storage
- -20 °C,-80 °C
-
Storage Comment
- Upon receipt, store at -20°C or -80°C. Avoid repeated freeze.
-
-
- IFNB1 (Interferon, beta 1, Fibroblast (IFNB1))
-
Alternative Name
- IFNB1
-
Background
-
Background: Has antiviral, antibacterial and anticancer activities.
Aliases: beta-interferon antibody, Fibroblast interferon antibody, IFB antibody, IFF antibody, IFN beta antibody, IFN-beta antibody, IFNB 1 antibody, IFNB antibody, IFNB_HUMAN antibody, IFNB1 antibody, Interferon beta 1 fibroblast antibody, Interferon beta antibody, Interferon beta precursor antibody, MGC96956 antibody
-
UniProt
- P01574
-
Pathways
- JAK-STAT Signaling, TCR Signaling, TLR Signaling, Regulation of Leukocyte Mediated Immunity, Production of Molecular Mediator of Immune Response, Positive Regulation of Endopeptidase Activity, Hepatitis C, Autophagy, Inflammasome
Target
-