IFNB1 antibody (AA 101-187)
Quick Overview for IFNB1 antibody (AA 101-187) (ABIN728158)
Target
See all IFNB1 AntibodiesReactivity
Host
Clonality
Conjugate
Application
-
-
Binding Specificity
- AA 101-187
-
Cross-Reactivity
- Human, Rat
-
Purification
- Purified by Protein A.
-
Immunogen
- KLH conjugated synthetic peptide derived from human IFN-beta
-
Isotype
- IgG
-
-
-
-
Application Notes
-
ELISA 1:500-1000
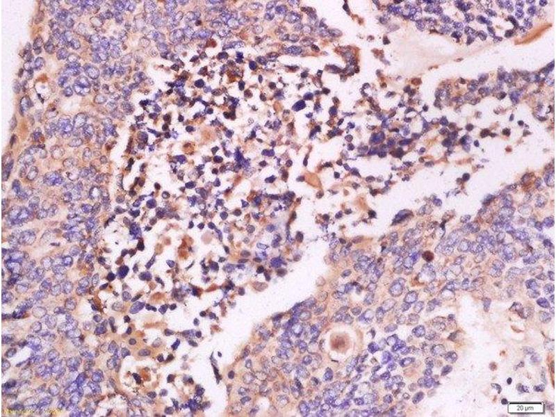
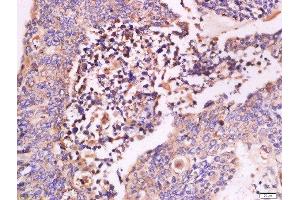
IHC-P 1:200-400
IHC-F 1:100-500
IF(IHC-P) 1:50-200
IF(IHC-F) 1:50-200
IF(ICC) 1:50-200 -
Restrictions
- For Research Use only
-
-
-
Format
- Liquid
-
Concentration
- 1 μg/μL
-
Buffer
- 0.01M TBS( pH 7.4) with 1 % BSA, 0.02 % Proclin300 and 50 % Glycerol.
-
Preservative
- ProClin
-
Precaution of Use
- This product contains ProClin: a POISONOUS AND HAZARDOUS SUBSTANCE, which should be handled by trained staff only.
-
Storage
- 4 °C,-20 °C
-
Storage Comment
- Shipped at 4°C. Store at -20°C for one year. Avoid repeated freeze/thaw cycles.
-
Expiry Date
- 12 months
-
-
-
: "Rats with a missense mutation in Atm display neuroinflammation and neurodegeneration subsequent to accumulation of cytosolic DNA following unrepaired DNA damage." in: Journal of leukocyte biology, Vol. 101, Issue 4, pp. 927-947, (2016) (PubMed).
-
-
- IFNB1 (Interferon, beta 1, Fibroblast (IFNB1))
-
Alternative Name
- IFN-beta
-
Background
-
Synonyms: IFB, IFF, IFNB, IFN-beta, Interferon beta, Fibroblast interferon, IFNB1
Background: Has antiviral, antibacterial and anticancer activities.
-
Gene ID
- 3456
-
UniProt
- P01574
-
Pathways
- JAK-STAT Signaling, TCR Signaling, TLR Signaling, Regulation of Leukocyte Mediated Immunity, Production of Molecular Mediator of Immune Response, Positive Regulation of Endopeptidase Activity, Hepatitis C, Autophagy, Inflammasome
Target
-