Recombinant JAK1 antibody
Quick Overview for Recombinant JAK1 antibody (ABIN7606986)
Target
See all JAK1 AntibodiesAntibody Type
Reactivity
Host
Clonality
Conjugate
Application
Grade
-
-
Purpose
- JAK1 Rabbit mAb
-
Specificity
- JAK1 Antibody detects endogenous levels of total JAK1
-
Purification
- Affinity-chromatography
-
Immunogen
- A synthesized peptide derived from human JAK1
-
Isotype
- IgG
-
-
-
-
Application Notes
- WB 1:500~1:2000
-
Restrictions
- For Research Use only
-
-
-
Buffer
- phosphate buffered saline , pH 7.4, 150 mM NaCl, 0.02 % sodium azide and 50 % glycerol.
-
Preservative
- Sodium azide
-
Precaution of Use
- This product contains Sodium azide: a POISONOUS AND HAZARDOUS SUBSTANCE which should be handled by trained staff only.
-
Storage
- 4 °C,-20 °C
-
Storage Comment
- Store at +4°C short term. Store at -20°C long term. Avoid freeze / thaw cycle.
-
-
- JAK1 (Janus Kinase 1 (JAK1))
-
Alternative Name
- JAK1
-
Background
- JAK 1, JAK 1A, JAK 1B, JAK1, JAK1A, JAK1B, JTK3,
-
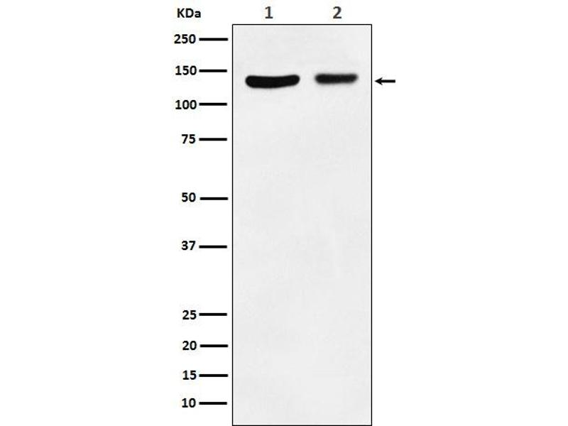
Molecular Weight
- 133kDa
-
UniProt
- P23458
-
Pathways
- JAK-STAT Signaling, RTK Signaling, Interferon-gamma Pathway, Hepatitis C, Toll-Like Receptors Cascades, Unfolded Protein Response
Target
-