Phone:
+1 877 302 8632
Fax:
+1 888 205 9894 (Toll-free)
E-Mail:
orders@antibodies-online.com

IHC Antibodies

antibodies-online offers you currently more than 200,000 IHC antibodies for a wide variety of targets.

Antibodies for IHC

Overview of Immunohistochemistry

Immunohistochemistry (IHC) refers to the process of detecting antigens in cells of a tissue section by exploiting the principle of antibodies binding specifically to antigens in biological tissues. Its widely used in the diagnosis of abnormal cells such as those found in cancerous tumors and in basic research to understand the distribution and localization of biomarkers and differentially expressed proteins in different parts of a biological tissue. Visualising an antibody-antigen interaction can be accomplished in a number of ways. In the most common instance, an antibody is conjugated to an enzyme, such as peroxidase, that can catalyse a colour-producing reaction or tagged to a fluorophore.

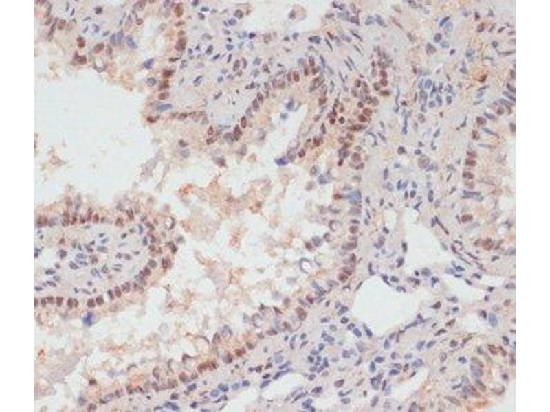
anti-Collagen Type I antibody ABIN5596819

ABIN5596819 : anti-Collagen Type I antibody validated for IHC

Learn more about Immunohistochemistry (IHC)

Tissue Preparation

The tissue sample preparation is of crucial importance, because inadequate handling may disrupt tissue structure, cause reduced antibody binding affinity or even prevent binding altogether. The goal is to preserve the tissue in close to life-like conditions while concomitantly preventing autolysis and degradation due to bacterial or fungal growth. To this end, fixatives are used, such as paraformaldehyde-lysin-periodate (PLP) or formalin. The most common fixative is 4%-10% (in some cases up to 40%) formaldehyde in 0.1M phosphate buffer (in order to stabilize the pH).

For tissue that does not tolerate formaldehyde incubation, an often used alternative is that samples are snap-frozen in liquid nitrogen, and then cut into sections. Tissues incubated with fixatives are embedded in a matrix, e.g. paraffin, or, after they have been dehydrated, in alcohol (isopropanol or ethanol), and then cut into sections. For sensitive tissues the application of a vibratome microtome may be advisable, due to the lower physical stress it produces on the tissues.

Antigen Retrieval

Despite its superior preservation quality, in terms of morphology, formalin-fixed paraffin-embedded samples can lose some or all immunoreactivity due to structural changes of the targeted antigen. The demonstration of antigens, and hence the immunoreactivity, can be improved using various techniques. Mainly, there are two distinct approaches, i.e. heat treatment, the so-called "heat induced epitope retrieval" (HIER), and the "proteolytic induced epitope retrieval" (PIER). In order to apply these techniques tissue-sections have to be deparaffinized and rehydrated first.

HIER works by applying, what is often referred to as retrieval solution. This preheated buffer has varying composition and pH, often consisting of Tris-HCl or citrate. The emerged samples are exposed to heat for varying times (usually between 10-60 minutes) and then slowly cooled. The heating itself may be carried out using an autoclave, waterbath, pressure-cooker or similar appliance.

PIER works by applying digestion enzymes, such as proteinase K, trypsin, pepsin and various other proteinases. Optimal incubation time and concentrations have to be tested. In the final run sample specificities should be optimized. Occasionally it may be required to combine HIER and PIER in order to achieve antigen "unmasking" following formalin-incubation.

Staining Methodologies

Direct method

In this method a labelled antibody (e.g. with a substrate-chromogen) reacts directly with the antigen in the tissue. The advantage is that only one antibody is needed, hence the application is fast and produces little nonspecific binding. On the other hand, since only one antibody binds one epitope, the signal intensity is low. For applications with small amounts of antigen the signal may be too weak.

Indirect method (two-step)

In order to upscale the low signal intensity of the direct method, the indirect method has been developed. The primary antibody binds to the antigen, followed by a second (labelled) antibody binding the primary. The signal is amplified due to the binding of multiple secondary antibodies to a single primary antibody. Another advantage is that only one labelled antibody needs to be employed for different targets, which may reduce costs. One disadvantage is that nonspecific binding occurs more frequently than with the direct method.

Three-step method

In order to further amplify the signal an additional antibody may be employed that binds to the secondary antibody. This method leads to a third layer of antibodies all of which are labelled. This application is useful for staining of antigens with a limited number of epitopes.

PAP method

Today, the peroxidase anti-peroxidase method is rarely used, but has been popular in pathology laboratories previously. It is an indirect method which depends on a third layer of antibodies, bound to peroxidase, that binds an unconjugated second layer antibody. The peroxidase is not chemically conjugated to the IgG but immunologically bound. That means that the third layer antibody is specific for peroxidase. This leads to a much higher activity of the peroxidase, in turn increasing the assay sensitivity by two to three orders of a magnitude.

(Strept)Avidin-Biotin Complex (ABC) methods

Nowadays, one of the most commonly used method for staining is based on the high affinity that avidin (chicken egg) and streptavidin (Streptomyces avidinii) have for the glycoprotein biotin. The basic principle is that avidin (or streptavidin) reacts with a biotinylated secondary antibody, followed by a horseradish peroxidase reaction.

In some cases catalyzed signal amplification (CSA) is employed. An amplification reagent leads to the aggregation of a large number of biotins that subsequently react with streptavidin-labelled peroxidase. One issue with avidin is its large electrostatic binding, due to its molecular charge. Streptavidin does not have the same propensity, thus reducing the background signal.

Polymeric methods

In short, polymeric methods employ large antibody-bound polymers with the ability to bind a larger number of molecules, typically an average of ten antibodies and approximately 70 enzyme molecules. This setup allows for outstanding amplification of the signal, hence high sensitivity, reduced nonspecific binding, and therefore low background signal. It also allows for staining of two different antigens at the same time.

Product
Reactivity
Clonality
Source
Cat. No.
Validations
Quantity
Datasheet
Reactivity Human
Clonality Monoclonal
Source Mouse
Cat. No. ABIN7538886
Validations
  • (2)
Quantity 1 mL
Datasheet
Reactivity Human
Clonality Monoclonal
Source Mouse
Cat. No. ABIN7538853
Validations
  • (1)
Quantity 1 mL
Datasheet
Reactivity Human
Clonality Monoclonal
Source Mouse
Cat. No. ABIN7538834
Validations
  • (1)
Quantity 1 mL
Datasheet
Reactivity Human
Clonality Monoclonal
Source Mouse
Cat. No. ABIN7538858
Validations
  • (1)
Quantity 1 mL
Datasheet
Reactivity Human
Clonality Monoclonal
Source Mouse
Cat. No. ABIN7538824
Validations
  • (1)
Quantity 1 mL
Datasheet
Reactivity Human
Clonality Monoclonal
Source Mouse
Cat. No. ABIN7538864
Validations
  • (1)
Quantity 1 mL
Datasheet
Reactivity Human
Clonality Monoclonal
Source Mouse
Cat. No. ABIN7538892
Validations
  • (1)
Quantity 1 mL
Datasheet
Reactivity Human
Clonality Monoclonal
Source Mouse
Cat. No. ABIN7538881
Validations
  • (1)
Quantity 1 mL
Datasheet

254,352 results

PRKAA1 Reactivity: Human, Mouse, Rat WB, IHC Host: Rabbit Polyclonal unconjugated
Catalog No. ABIN7265094
$708.00
Plus shipping costs $50.00
200 μL (More quantities available)
Shipping to: United States
Delivery in 11 to 15 Business Days
 
STAT1 Reactivity: Human, Mouse, Rat IHC Host: Rabbit Polyclonal unconjugated
Catalog No. ABIN7265092
$708.00
Plus shipping costs $50.00
200 μL (More quantities available)
Shipping to: United States
Delivery in 11 to 15 Business Days
 
GAMMA-H2AX Reactivity: Human, Mouse, Rat IHC, IF Host: Rabbit Polyclonal unconjugated
Catalog No. ABIN7265088
$708.00
Plus shipping costs $50.00
200 μL (More quantities available)
Shipping to: United States
Delivery in 11 to 15 Business Days
 
MYC Reactivity: Human, Mouse, Rat IHC, IF Host: Rabbit Polyclonal unconjugated
Catalog No. ABIN7265076
$708.00
Plus shipping costs $50.00
200 μL (More quantities available)
Shipping to: United States
Delivery in 11 to 15 Business Days
 
EIF3S1 Reactivity: Human, Mouse, Rat WB, IHC, IF Host: Rabbit Polyclonal unconjugated
Catalog No. ABIN7264670
$696.00
Plus shipping costs $50.00
200 μL (More quantities available)
Shipping to: United States
Delivery in 11 to 15 Business Days
 
TRPA1 Reactivity: Human, Mouse, Rat WB, IHC Host: Rabbit Polyclonal unconjugated
Catalog No. ABIN7264621
$696.00
Plus shipping costs $50.00
200 μL (More quantities available)
Shipping to: United States
Delivery in 11 to 15 Business Days
 
TEFM Reactivity: Human, Mouse, Rat IHC, IF Host: Rabbit Polyclonal unconjugated
Catalog No. ABIN7264563
$696.00
Plus shipping costs $50.00
200 μL (More quantities available)
Shipping to: United States
Delivery in 11 to 15 Business Days
 
SAFB Reactivity: Human, Mouse, Rat WB, IHC, IF Host: Rabbit Polyclonal unconjugated
Catalog No. ABIN7263975
$696.00
Plus shipping costs $50.00
200 μL (More quantities available)
Shipping to: United States
Delivery in 11 to 15 Business Days
 
IL25 Reactivity: Human, Mouse, Rat IHC, IF Host: Rabbit Polyclonal unconjugated
Catalog No. ABIN7264293
$538.80
Plus shipping costs $50.00
200 μL (More quantities available)
Shipping to: United States
Delivery in 11 to 15 Business Days
 
THOC1 Reactivity: Human, Mouse, Rat WB, IHC, IF Host: Rabbit Polyclonal unconjugated
Catalog No. ABIN7264235
$696.00
Plus shipping costs $50.00
200 μL (More quantities available)
Shipping to: United States
Delivery in 11 to 15 Business Days
 
DDX39B Reactivity: Human, Mouse, Rat IHC, IF Host: Rabbit Polyclonal unconjugated
Catalog No. ABIN7264385
$696.00
Plus shipping costs $50.00
200 μL (More quantities available)
Shipping to: United States
Delivery in 11 to 15 Business Days
 
CAD Reactivity: Human, Mouse, Rat WB, IHC, IF Host: Rabbit Polyclonal unconjugated
Catalog No. ABIN7264367
$696.00
Plus shipping costs $50.00
200 μL (More quantities available)
Shipping to: United States
Delivery in 11 to 15 Business Days
 
CETN3 Reactivity: Human, Mouse, Rat IF, IHC Host: Rabbit Polyclonal unconjugated
Catalog No. ABIN7264157
$696.00
Plus shipping costs $50.00
200 μL (More quantities available)
Shipping to: United States
Delivery in 11 to 15 Business Days
 
PEA15 Reactivity: Human, Mouse, Rat IHC Host: Rabbit Polyclonal unconjugated
Catalog No. ABIN7265284
$708.00
Plus shipping costs $50.00
200 μL (More quantities available)
Shipping to: United States
Delivery in 11 to 15 Business Days
 
RPL36 Reactivity: Human, Mouse, Rat WB, IHC, IF Host: Rabbit Polyclonal unconjugated
Catalog No. ABIN7263819
$696.00
Plus shipping costs $50.00
200 μL (More quantities available)
Shipping to: United States
Delivery in 11 to 15 Business Days
 
BMP5 Reactivity: Human, Mouse, Rat WB, IHC Host: Rabbit Polyclonal unconjugated
Catalog No. ABIN7264429
$696.00
Plus shipping costs $50.00
200 μL (More quantities available)
Shipping to: United States
Delivery in 11 to 15 Business Days
 
ACAT2 Reactivity: Human, Mouse, Rat IHC, IF Host: Rabbit Polyclonal unconjugated
Catalog No. ABIN7263895
$696.00
Plus shipping costs $50.00
200 μL (More quantities available)
Shipping to: United States
Delivery in 11 to 15 Business Days
 
DNAJB6 Reactivity: Human, Mouse, Rat IHC, IF Host: Rabbit Polyclonal unconjugated
Catalog No. ABIN7263009
$696.00
Plus shipping costs $50.00
200 μL (More quantities available)
Shipping to: United States
Delivery in 11 to 15 Business Days
 
HIRIP3 Reactivity: Human, Mouse, Rat IHC, IF Host: Rabbit Polyclonal unconjugated
Catalog No. ABIN7262957
$696.00
Plus shipping costs $50.00
200 μL (More quantities available)
Shipping to: United States
Delivery in 11 to 15 Business Days
 
GLUD1 Reactivity: Human, Mouse, Rat IHC, IF Host: Rabbit Polyclonal unconjugated
Catalog No. ABIN7263621
$696.00
Plus shipping costs $50.00
200 μL (More quantities available)
Shipping to: United States
Delivery in 11 to 15 Business Days
 
EFTUD2 Reactivity: Human, Mouse, Rat WB, IHC, IF Host: Rabbit Polyclonal unconjugated
Catalog No. ABIN7262991
$538.80
Plus shipping costs $50.00
200 μL (More quantities available)
Shipping to: United States
Delivery in 11 to 15 Business Days
 
CATNB Reactivity: Human, Mouse, Rat WB, IHC Host: Rabbit Polyclonal unconjugated
Catalog No. ABIN7265240
$708.00
Plus shipping costs $50.00
200 μL (More quantities available)
Shipping to: United States
Delivery in 11 to 15 Business Days
 
TP53 Reactivity: Human, Mouse, Rat WB, IHC Host: Rabbit Polyclonal unconjugated
Catalog No. ABIN7265276
$708.00
Plus shipping costs $50.00
200 μL (More quantities available)
Shipping to: United States
Delivery in 11 to 15 Business Days
 
BRCA1 Reactivity: Human, Rat, Mouse WB, IHC, IF Host: Rabbit Polyclonal unconjugated
Catalog No. ABIN7265138
$708.00
Plus shipping costs $50.00
200 μL (More quantities available)
Shipping to: United States
Delivery in 11 to 15 Business Days
 
MAPK3 Reactivity: Human, Mouse, Rat IHC Host: Rabbit Polyclonal unconjugated
Catalog No. ABIN7265214
$708.00
Plus shipping costs $50.00
200 μL (More quantities available)
Shipping to: United States
Delivery in 11 to 15 Business Days
 
  • Type Primary
    • Primary
  • Target
    • Histone 3 (H3)
    • p53 (TP53)
    • EGFR
    • AKT1
    • CD45 (PTPRC)
    • GFAP
    • EpCAM (EPCAM)
    • Albumin (ALB)
    • Estrogen Receptor alpha (ESR1)
    • Cytokeratin 18 (KRT18)
    • tau
    • CD31 (PECAM1)
    • Bcl-2 (BCL2)
    • Cytokeratin 19 (KRT19)
    • KRT8
    • MUC1
    • Vimentin (VIM)
    • TNF alpha
    • NF-kB p65 (NFkBP65)
    • CD3 epsilon (CD3E)
    • CD4
    • CD44
    • Chromogranin A (CHGA)
    • CD8 alpha (CD8A)
    • HSPD1
    • HSP27 (HSPB1)
    • ErbB2/Her2
    • C-JUN (JUN)
    • Insulin (INS)
    • E-cadherin (CDH1)
    • Caspase 3 (CASP3)
    • STAT3
    • beta Catenin (CATNB)
    • c-MYC (MYC)
    • CD34
    • SNCA
    • CD11b (ITGAM)
    • RPS6KB1
    • Cytokeratin 7 (KRT7)
    • VWF
    • Histone H4 (HISTH4)
    • beta-2 Microglobulin (B2M)
    • Interferon gamma (IFNG)
    • Ubiquitin (Ub)
    • RAF1
    • SOD1
    • MEK1 (MAP2K1)
    • Annexin a1 (ANXA1)
    • CD5
    • MMP 9 (MMP9)
    Please use search to find more...
  • Application Immunohistochemistry (IHC), Immunohistochemistry (Paraffin-embedded Sections) (IHC (p)), Immunohistochemistry (Frozen Sections) (IHC (fro)), Immunohistochemistry (Formalin-fixed Sections) (IHC (f)), Immunohistochemistry (Formalin-fixed Paraffin-embedded Sections) (IHC (fp)), Immunohistochemistry (Zinc-fixed Sections) (IHC (zinc)), Immunohistochemistry (Paraformaldehyde) (IHC (pfa)), Immunohistochemistry (Free Floating) (IHC (ff)), Immunohistochemistry (Whole Mount) (IHC (wm)), Immunohistochemistry (Resin Sections) (IHC (rs)), Immunohistochemistry (Fixed) (IHC (fx)), Immunohistochemistry (Acetone-fixed) (IHC (af))
    • Immunohistochemistry (Acetone-fixed) (IHC (af))
    • Immunohistochemistry (Fixed) (IHC (fx))
    • Immunohistochemistry (Resin Sections) (IHC (rs))
    • Immunohistochemistry (Whole Mount) (IHC (wm))
    • Immunohistochemistry (Free Floating) (IHC (ff))
    • Immunohistochemistry (Paraformaldehyde) (IHC (pfa))
    • Immunohistochemistry (Zinc-fixed Sections) (IHC (zinc))
    • Immunohistochemistry (Formalin-fixed Paraffin-embedded Sections) (IHC (fp))
    • Immunohistochemistry (Formalin-fixed Sections) (IHC (f))
    • Immunohistochemistry (Frozen Sections) (IHC (fro))
    • Immunohistochemistry (Paraffin-embedded Sections) (IHC (p))
    • Immunohistochemistry (IHC)
    • Western Blotting (WB)
    • ELISA
    • Immunofluorescence (Paraffin-embedded Sections) (IF (p))
    • Immunofluorescence (IF)
    • Flow Cytometry (FACS)
    • Immunofluorescence (Cultured Cells) (IF (cc))
    • Immunocytochemistry (ICC)
    • Immunoprecipitation (IP)
    • Enzyme Immunoassay (EIA)
    • Immunofluorescence (fixed cells) (IF/ICC)
    • Dot Blot (DB)
    • Immunochromatography (IC)
    • Functional Studies (Func)
    • Radioimmunoassay (RIA)
    • Neutralization (Neut)
    • Chromatin Immunoprecipitation (ChIP)
    • Coating (Coat)
    • Staining Methods (StM)
    • Immunostaining (ISt)
    • Fluorescence Microscopy (FM)
    • Immunoassay (IA)
    • Immunodiffusion (ID)
    • Proximity Ligation Assay (PLA)
    • Lateral Flow (LF)
    • Surface Plasmon Resonance (SPR)
    • Confocal Microscopy (CM)
    • Immunoelectrophoresis (IEP)
    • Live Cell Imaging (LCI)
    • Bio-Layer Interferometry (BLI)
    • Cytotoxicity Test (CyTox)
    • Indirect Immunofluorescence Assay (IFA)
    • RNA Interference (RNAi)
    • Antibody Array (AA)
    • Blocking Antibody (Inhibition)
    • Blocking Reagent (BR)
    • Blocking Peptide (BP)
    • ELISA (Capture)
    • ChIP DNA-Sequencing (ChIP-seq)
    • In vivo Studies (in vivo)
    • Protein Assay (PrA)
    • Chemiluminescence Immunoassay (CLIA)
    • Affinity Purification (AP)
    • Cellular Assay (CA)
    • Intracellular Flow Cytometry (ICFC)
    • Luminex Assay (LMNX)
  • Reactivity
    • Human
    • Mouse
    • Rat
    • Cow
    • Dog
    • Monkey
    • Rabbit
    • Pig
    • Horse
    • Guinea Pig
    • Chicken
    • Zebrafish (Danio rerio)
    • Hamster
    • Sheep
    • Bat
    • Xenopus laevis
    • Goat
    • Cat
    • Various Species
    • Drosophila melanogaster
    • Saccharomyces cerevisiae
    • Frog
    • Non-Human Primate
    • Mammalian
    • Rhesus Monkey
    • Chimpanzee
    • Baboon
    • Gorilla
    • Fish
    • Cynomolgus
    • Virus
    • Gibbon
    • Primate
    • Plant
    • Human Papillomavirus 16 (HPV-16)
    • E. coli
    • Orang-Utan
    • Aequorea victoria
    • Macaque
    • Chemical
    • Human Immunodeficiency Virus (HIV)
    • Avian
    • Ferret
    • Influenza A Virus
    • Marmoset
    • Hepatitis C Virus (HCV)
    • C. elegans
    • SARS Coronavirus-2 (SARS-CoV-2)
    • Bacteria
    • Pigeon
    Please use search to find more...
  • Cited in publications
  • Images available
  • Independent Validation
  • Preservative free only
  • Carrier free only
  • Detection Method
    • Fluorometric
  • Host
    • Rabbit
    • Mouse
    • Goat
    • Rat
    • Sheep
    • Guinea Pig
    • Chicken
    • Human
    • Hamster
    • Armenian Hamster
    • Alpaca
    • Chicken eggs
    • HEK-293F Cells
    • Cell culture
    • Chicken egg
    • Golden Syrian Hamster
    • Llama
    • Pig
    • Rabbit/Mouse Cocktail
    • Carp
    • Horse
  • Clonality
    • Polyclonal
    • Monoclonal
    • Chimeric
    • Bispecific
  • Clone
    • C1
    • C2
    • C3
    • C4
    • C5
    • C6
    • C11
    • C10
    • C7
    • D4
    • D1
    • C8
    • C12
    • D2
    • C9
    • D3
    • 2F11
    • C13
    • 2F6
    • 9E10
    • 3F8
    • 1F6
    • 2C1
    • 1A4
    • D5
    • 1D6
    • 1A1
    • 1F8
    • 3G4
    • 145-2C11
    • 1A6
    • 1A7
    • 1C7
    • 1D4
    • 1F10
    • 2D2
    • 3B5
    • 3C3
    • 3G8
    • 2A5
    • 2G4
    • 2C4
    • 2D4
    • 4C2
    • PAb
    • 1B4
    • 1D11
    • 1D2
    • 1F3
    • 2C3
    Please use search to find more...
  • Binding Specificity
    • C-Term
    • N-Term
    • Internal Region
    • Center
    • Middle Region
    • AA 1-30
    • AA 1-100
    • AA 101-200
    • AA 51-150
    • AA 201-300
    • Extracellular Domain
    • AA 151-250
    • AA 21-120
    • AA 1-50
    • Cytosolic
    • Extracellular
    • AA 301-400
    • Cytoplasmic Domain
    • AA 251-350
    • Intracellular
    • AA 31-130
    • AA 401-500
    • AA 351-450
    • AA 1-300
    • AA 1-80
    • AA 1-200
    • AA 501-600
    • AA 451-550
    • AA 121-220
    • AA 131-230
    • AA 50-100
    • pan
    • full length
    • AA 150-200
    • AA 81-180
    • AA 100-150
    • AA 1-250
    • AA 10-90
    • AA 231-330
    • AA 41-140
    • AA 221-320
    • AA 61-160
    • 3rd Cytoplasmic Domain
    • AA 356-475
    • AA 601-700
    • AA 1-280
    • AA 161-260
    • AA 30-110
    • AA 1-260
    • AA 1-119
    Please use search to find more...
  • Conjugate
    • Un-conjugated
    • Biotin
    • HRP
    • FITC
    • PE
    • APC
    • Alexa Fluor 647
    • Alexa Fluor 350
    • Alexa Fluor 405
    • Alexa Fluor 488
    • Alexa Fluor 555
    • Alexa Fluor 750
    • Alexa Fluor 594
    • Alexa Fluor 680
    • CF®488A
    • CF®405S
    • CF®640R
    • CF®568
    • CF®594
    • CF®647
    • CF®740
    • FL490
    • FL550
    • FL594
    • FL650
    • PerCP
    • Atto 488
    • Atto 594
    • Atto 390
    • Alkaline Phosphatase (AP)
    • Peroxidase (POD)
    • CF®555
    • PE-Cy5
    • Cy5
    • PE,Cy5
    • PE-Cy7
    • Cy3
    • CF®543
    • CF®660R
    • SPRD
    • CF405M
    • CF®770
    • PE-Cy5.5
    • CF®405L
    • CF®680
    • CF®680R
    • Atto 550
    • Cy7,PE
    • DyLight 488
    • DyLight 550
    • Fc Tag
  • Isotype
    • IgG
    • IgG1
    • Ig Fraction
    • kappa
    • IgG2a
    • IgG1 kappa
    • IgG2b
    • IgG2a kappa
    • IgG2b kappa
    • IgG kappa
    • IgM
    • IgG2c
    • IgY
    • IgG2
    • IgG3
    • IgM kappa
    • IgG2c kappa
    • IgG3 kappa
    • L234A
    • L235A
    • P329G
    • IgG1 lambda
    • IgG2a lambda
    • IgG lambda
    • IgG2b lambda
    • IgG Mix lambda
    • IgG2 kappa
    • IgG1/IgG2b
    • Ig kappa
    • IgG4
    • lambda
    • D265A
    • IgA
    • IgG4 kappa
    • IgG1a
    • Cocktail
    • Ig Mix
    • IgE
    • IgG4 S228P
    • Fc Silenced
    • IgA2 kappa
    • IgE kappa
    • IgG Mix
    • IgG1b kappa
    • IgG2 lambda
    • IgG3 lambda
    • IgG4 lambda
  • Protein Type
    • Recombinant Antibody
  • Format
    • Liquid
    • Lyophilized
    • Lyophilized or Liquid
    • Frozen
  • Fragment
    • single-domain Antibody (sdAb)
    • scFv fragment
    • Fc fragment
    • F(ab')2 fragment
    • Fab fragment
  • Grade
    • KO Validated
    • Verified
    • Carrier-free
    • KD Validated
    • Microarray verified
    • In vivo Grade
    • KO Validated, KD Validated
    • Cell Culture Grade
    • GMP Grade
    • Calibrator Grade
    • ChIP-seq Grade
  • Supplier
    • antibodies-online
    • Signalway
    • Biotium
    • Abbexa
    • USBio
    • Cohesion Biosciences
    • Acris
    • Boster Bio
    • Biomatik
    • Cloud-Clone
    • Covalab
    • Assay Biotechnology Company, Inc.
    • Aviva Systems Biology
    • NSJ Bioreagents
    • Assaypro
    • Antibodies Incorporated
    • ProSci
    • RayBiotech
    • FabGennix
    • Rockland
    • Alomone Labs
    • Angio-Proteomie
    • OriGene
    • Wuhan Fine biotech
    • Enogene Biotech
    • Synaptic Systems
    • CUSABIO
    • RevMAb Biosciences
    • PROGEN
    • Elabscience
    • Agrisera
    • QED Bioscience
    • EnCor Biotechnology
    • Kamiya Biomedicals
    • Abeomics
    • ANTIGENES
    • Neuromics Antibodies
    • Active Motif
    • ProteoGenix
    • BioAcademia
    • Aeonian Biotech
    • ImmunoBioscience
    • Biohit
    • Aldevron
    • Ansh Labs
    • AntiProt
    • Hytest
    • Clonegene
    • St John's Laboratory
    • Torrey Pines
    Please use search to find more...
You are here:
Chat with us!