Phone:
+1 877 302 8632
Fax:
+1 888 205 9894 (Toll-free)
E-Mail:
orders@antibodies-online.com

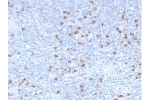
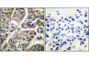
GZMB Antibodies

(Granzyme B (GZMB))

Choose one of 185 GZMB antibodies from our product listing based on 6 publications and 91 validation images.

Explore reliable GZMB antibodies from a broad selection of renowned manufacturers. Our portfolio enables accurate GZMB detection across multiple species, including Human, Mouse, Rat, Monkey, Non-Human Primate, Rhesus Monkey, Chimpanzee, Primate, Rabbit, and supports diverse research applications such as WB, IHC, ELISA, FACS, IP.

Quickly find the right antibody using our search, filter, and comparison tools. Each product page provides detailed validation data, literature references, and customer feedback. Unlike comparison-only resources, you can conveniently purchase antibodies directly through our site. Choose from polyclonal, monoclonal, or recombinant GZMB antibodies derived from various hosts such as Rabbit, Mouse, Rat. Browse our products below and order directly to support your research with confidence.

Alternative names for GZMB are GZMB.

185 results

GZMB Reactivity: Human WB, IHC Host: Rabbit Polyclonal unconjugated
Catalog No. ABIN7432145
$302.11
Plus shipping costs $50.00
100 μL (More quantities available)
Shipping to: United States
Delivery in 13 to 17 Business Days
 
GZMB Reactivity: Human WB, IHC, StM Host: Mouse Monoclonal GZMB-3014 unconjugated
Catalog No. ABIN6939591
$640.46
Plus shipping costs $50.00
100 μg (More quantities available)
Shipping to: United States
Delivery in 2 to 5 Business Days
 
GZMB Reactivity: Human WB, FACS, IHC (p) Host: Rabbit Polyclonal RB19353 unconjugated
Catalog No. ABIN390496
$451.00
Plus shipping costs $50.00
400 μL (More quantities available)
Shipping to: United States
Delivery in 10 to 12 Business Days
 
GZMB Reactivity: Human WB, IP Host: Rabbit Polyclonal unconjugated
Catalog No. ABIN950006
$474.46
Plus shipping costs $50.00
100 μL
Shipping to: United States
Delivery in 11 to 14 Business Days
 
GZMB Reactivity: Human, Mouse WB, ELISA, FACS, IHC (p), IF (p), IHC (fro), IF (cc) Host: Rabbit Polyclonal unconjugated
Pubmed 1 reference
Catalog No. ABIN675354
$384.62
Plus shipping costs $50.00
100 μL
Shipping to: United States
Delivery in 4 to 7 Business Days
 
GZMB Reactivity: Human IHC, StM Host: Mouse Monoclonal GZMB-3056 unconjugated
Catalog No. ABIN6939593
$640.46
Plus shipping costs $50.00
100 μg (More quantities available)
Shipping to: United States
Delivery in 2 to 5 Business Days
 
GZMB Reactivity: Human, Non-Human Primate FACS Host: Mouse Monoclonal CLB-GB11 unconjugated
Pubmed 3 references
Catalog No. ABIN1302451
$483.49
Plus shipping costs $50.00
100 μg
Shipping to: United States
Delivery in 5 to 9 Business Days
 
GZMB Reactivity: Human WB, IHC, IF, IHC (p) Host: Mouse Monoclonal 4E4 unconjugated
Catalog No. ABIN1491198
$704.73
Plus shipping costs $50.00
100 μL
Shipping to: United States
Delivery in 11 to 15 Business Days
 
GZMB Reactivity: Human, Mouse, Rat WB, IHC, ELISA, IF, ICC Host: Rabbit Polyclonal unconjugated
Catalog No. ABIN6262072
$494.77
Plus shipping costs $50.00
100 μL (More quantities available)
Shipping to: United States
Delivery in 11 to 13 Business Days
 
GZMB Reactivity: Human IHC, ELISA Host: Mouse Monoclonal 2G12G7 unconjugated
Catalog No. ABIN7193680
$473.33
Plus shipping costs $50.00
100 μL
Shipping to: United States
Delivery in 3 to 5 Business Days
 
GZMB Reactivity: Human ELISA, FACS, cELISA Host: Mouse Monoclonal GM-4C1 unconjugated
Catalog No. ABIN108719
$526.00
Plus shipping costs $50.00
100 μg
Shipping to: United States
Delivery in 6 to 9 Business Days
 
GZMB Reactivity: Human WB, ELISA, IP Host: Mouse Monoclonal 4F5 unconjugated
Catalog No. ABIN516322
$489.14
Plus shipping costs $50.00
100 μg
Shipping to: United States
Delivery in 11 to 14 Business Days
 
GZMB Reactivity: Human IHC, ELISA, IF Host: Rabbit Polyclonal unconjugated
Catalog No. ABIN7154415
$394.68
Plus shipping costs $50.00
100 μg (More quantities available)
Shipping to: United States
Delivery in 13 to 17 Business Days
 
GZMB Reactivity: Human, Non-Human Primate ICFC Host: Mouse Monoclonal CLB-GB11 FITC
Catalog No. ABIN7013929
$866.32
Plus shipping costs $50.00
100 tests
Shipping to: United States
Delivery in 5 to 9 Business Days
 
GZMB Reactivity: Human, Mouse FACS, IHC (p) Host: Rabbit Polyclonal RB19352 unconjugated
Catalog No. ABIN390495
$451.00
Plus shipping costs $50.00
400 μL (More quantities available)
Shipping to: United States
Delivery in 10 to 12 Business Days
 
GZMB Reactivity: Human WB Host: Mouse Polyclonal unconjugated
Catalog No. ABIN516318
$489.14
Plus shipping costs $50.00
50 μg
Shipping to: United States
Delivery in 11 to 14 Business Days
 
GZMB Reactivity: Human IHC, ELISA, IF Host: Rabbit Monoclonal 6A1 unconjugated Recombinant Antibody
Catalog No. ABIN7127523
$462.00
Plus shipping costs $50.00
100 μL (More quantities available)
Shipping to: United States
Delivery in 13 to 17 Business Days
 
GZMB Reactivity: Human IHC, ELISA, Coat Host: Mouse Monoclonal GZMB-2403 unconjugated
Catalog No. ABIN6939590
$640.46
Plus shipping costs $50.00
100 μg (More quantities available)
Shipping to: United States
Delivery in 2 to 5 Business Days
 
GZMB Reactivity: Human, Monkey, Rhesus Monkey, Chimpanzee ELISA, FACS, IF, IP, IHC (fro) Host: Mouse Monoclonal GB11 unconjugated
Pubmed 1 reference
Catalog No. ABIN2473884
$394.15
Plus shipping costs $50.00
0.1 mg
Shipping to: United States
Delivery in 3 to 5 Business Days
 
GZMB Reactivity: Human WB Host: Mouse Monoclonal D2 unconjugated
Catalog No. ABIN7425959
$316.13
Plus shipping costs $50.00
100 μL (More quantities available)
Shipping to: United States
Delivery in 13 to 17 Business Days
 
  • Type Primary
    • Primary
  • Application
    • Western Blotting (WB)
    • Immunohistochemistry (IHC)
    • ELISA
    • Flow Cytometry (FACS)
    • Immunoprecipitation (IP)
    • Immunofluorescence (IF)
    • Immunocytochemistry (ICC)
    • Immunohistochemistry (Formalin-fixed Paraffin-embedded Sections) (IHC (fp))
    • Immunohistochemistry (Paraffin-embedded Sections) (IHC (p))
    • Immunofluorescence (Paraffin-embedded Sections) (IF (p))
    • Immunofluorescence (Cultured Cells) (IF (cc))
    • Immunohistochemistry (Frozen Sections) (IHC (fro))
    • Enzyme Immunoassay (EIA)
    • Immunohistochemistry (Formalin-fixed Sections) (IHC (f))
    • ELISpot
    • Intracellular Flow Cytometry (ICFC)
    • Radioimmunoassay (RIA)
    • Staining Methods (StM)
    • Coating (Coat)
    • Blocking Peptide (BP)
    • Cell-ELISA (cELISA)
    • Heat-induced Epitope Retrieval (HIER)
    • Multiplex Immunofluorescence (mIF)
  • Reactivity
    • Human
    • Mouse
    • Rat
    • Monkey
    • Non-Human Primate
    • Rhesus Monkey
    • Chimpanzee
    • Primate
    • Rabbit
  • Cited in publications
  • Images available
  • Preservative free only
  • Carrier free only
  • Host
    • Rabbit
    • Mouse
    • Rat
  • Clonality
    • Monoclonal
    • Polyclonal
  • Clone
    • GZMB-3014
    • GZMB-3055
    • scFv17
    • CLB-GB11
    • Fv02
    • B18-1
    • GB10
    • GB11
    • 9B2
    • BLR244L
    • DX22
    • GZMB-2403
    • MT28
    • QA18A28
    • 11F1
    • 2E8
    • 2G12G7
    • 4E4
    • 4E6
    • 4F5
    • 6A1
    • AAHC-7
    • BLR022E
    • D2
    • FC1G4
    • GB7
    • GM-4C1
    • GZMB-3056
    • GZMB/6530R
    • LUEE
    • MT34B6
    • MT8213
    • MT8610
    • MTAG8
    • PT0581R
    • R04-6A4R04-6A4
    • RB19352
    • RB19353
    • RM0338-14G13
    • RM441
    • SAA0515
    • SAA0516
  • Binding Specificity
    • AA 73-187
    • AA 21-247
    • AA 21-130
    • C-Term
    • N-Term
    • AA 1-247
    • AA 1-50
    • AA 168-184
    • AA 175-203
    • AA 2-32
    • AA 50-100
    • AA 7-227
    • AA 1-200
    • AA 10-59
    • AA 148-247
    • AA 16-244
    • AA 17-247
    • AA 18-247
    • AA 19-247
    • AA 21-246
    • AA 31-247
    • Glu20
  • Conjugate
    • Un-conjugated
    • Biotin
    • FITC
    • APC
    • PE
    • Alexa Fluor 488
    • Alexa Fluor 555
    • Alexa Fluor 594
    • Alexa Fluor 647
    • Alexa Fluor 680
    • Alexa Fluor 750
    • PerCP
    • CF®405S
    • CF®488A
    • CF®568
    • CF®594
    • CF®640R
    • CF®647
    • CF®740
    • HRP
    • AbBy Fluor® 350
    • AbBy Fluor® 488
    • AbBy Fluor® 555
    • AbBy Fluor® 594
    • AbBy Fluor® 647
    • AbBy Fluor® 680
    • AbBy Fluor® 750
    • Alexa Fluor 350
    • Alexa Fluor 405
    • Cy3
    • Cy5
    • Cy5.5
    • Cy7
  • Isotype
    • IgG
    • IgG1
    • kappa
    • IgG2a
    • IgG2b
    • IgG2b kappa
    • Ig Fraction
    • IgG kappa
    • IgG2
    • IgG2a kappa
  • Protein Type
    • Recombinant Antibody
  • Format
    • Liquid
    • Lyophilized
  • Supplier
    • antibodies-online
    • Signalway
    • Biotium
    • ProteoGenix
    • Assaypro
    • FabGennix
    • Acris
    • Boster Bio
    • Biomatik
    • Covalab
    • NSJ Bioreagents
    • ProSci
    • RayBiotech
    • USBio
    • Abbexa
    • Abeomics
    • Aldevron
    • Angio-Proteomie
    • Assay Biotechnology Company, Inc.
    • CUSABIO
    • Cohesion Biosciences
    • Kamiya Biomedicals
    • RevMAb Biosciences

Latest Publications for our GZMB Antibodies

Baumann, Dunkel, Schmid, Schmitt, Hiltensperger, Lohr, Laketa, Donakonda, Ahting, Lorenz-Depiereux, Heil, Schredelseker, Simeoni, Fecher, Körber, Bauer, Hüser, Hartmann, Laschinger, Eyerich, Eyerich et al.: "Regulatory myeloid cells paralyze T cells through cell-cell transfer of the metabolite methylglyoxal. ..." in: Nature immunology, Vol. 21, Issue 5, pp. 555-566, (2020) (PubMed).

Bengsch, Ohtani, Khan, Setty, Manne, OBrien, Gherardini, Herati, Huang, Chang, Newell, Bovenschen, Peer, Albelda, Wherry: "Epigenomic-Guided Mass Cytometry Profiling Reveals Disease-Specific Features of Exhausted CD8 T Cells." in: Immunity, Vol. 48, Issue 5, pp. 1029-1045.e5, (2019) (PubMed).

Park, Shin, Kim, Bilsborrow, Mohanty, Montgomery, Shaw, You, Kang: "Transcriptomic analysis of human IL-7 receptor alpha low and high effector memory CD8+ T cells reveals an age-associated signature linked to influenza vaccine response in older adults." in: Aging cell, Vol. 18, Issue 4, pp. e12960, (2019) (PubMed).

Paidipally, Tripathi, Van, Radhakrishnan, Dhiman, Venkatasubramanian, Devalraju, Tvinnereim, Valluri, Vankayalapati: "Interleukin-21 Regulates Natural Killer Cell Responses During Mycobacterium tuberculosis Infection." in: The Journal of infectious diseases, Vol. 217, Issue 8, pp. 1323-1333, (2019) (PubMed).

Giles, Hao, Padget, Song, Zhang, Lynes, Sanchez, Liu, Jung, Cao, Fujii, Jensen, Gillespie, Schlom, Gilbert, Nduom, Yang, Lee, Soon-Shiong, Hodge, Park: "Efficient ADCC killing of meningioma by avelumab and a high-affinity natural killer cell line, haNK." in: JCI insight, Vol. 4, Issue 20, (2019) (PubMed).

Ouni, Gharsalli, Dirix, Braiek, Sendi, Jarraya, Douik El Gharbi, Barbouche, Benabdessalem: "Granzyme B induced by Rv0140 antigen discriminates latently infected from active tuberculosis individuals." in: Journal of leukocyte biology, Vol. 105, Issue 2, pp. 297-306, (2019) (PubMed).

Gatault, Al-Hajj, Noble, Chevallier, Piollet, Forconi, Gaudy-Graffin, Thibault, Miquelestorena-Standley, Halimi, Büchler, Lemoine, Baron: "CMV-infected kidney grafts drive the expansion of blood-borne CMV-specific T cells restricted by shared class I HLA molecules via presentation on donor cells." in: American journal of transplantation : official journal of the American Society of Transplantation and the American Society of Transplant Surgeons, Vol. 18, Issue 8, pp. 1904-1913, (2019) (PubMed).

Hartana, Ahlén Bergman, Zirakzadeh, Krantz, Winerdal, Winerdal, Johansson, Alamdari, Jakubczyk, Glise, Riklund, Sherif, Winqvist: "Urothelial bladder cancer may suppress perforin expression in CD8+ T cells by an ICAM-1/TGFβ2 mediated pathway." in: PLoS ONE, Vol. 13, Issue 7, pp. e0200079, (2019) (PubMed).

Monroy-Arreola, Durán-Figueroa, Méndez-Flores, Domínguez-Cherit, Watkinson, Badillo-Corona, Whitaker, Naisbitt, Castrejón-Flores: "Up-Regulation of T-Cell Activation MicroRNAs in Drug-Specific CD4+ T-Cells from Hypersensitive Patients." in: Chemical research in toxicology, Vol. 31, Issue 6, pp. 454-461, (2019) (PubMed).

Giacomet, Masetti, Nannini, Forlanini, Clerici, Zuccotti, Trabattoni: "Humoral and cell-mediated immune responses after a booster dose of HBV vaccine in HIV-infected children, adolescents and young adults." in: PLoS ONE, Vol. 13, Issue 2, pp. e0192638, (2018) (PubMed).

Aliases for GZMB Antibodies

granzyme B (GZMB) Antibodies
CCPI Antibodies
CGL-1 Antibodies
CGL1 Antibodies
CSP-B Antibodies
CSPB Antibodies
CTLA1 Antibodies
CTSGL1 Antibodies
HLP Antibodies
SECT Antibodies
You are here:
Chat with us!