Phone:
+1 877 302 8632
Fax:
+1 888 205 9894 (Toll-free)
E-Mail:
orders@antibodies-online.com

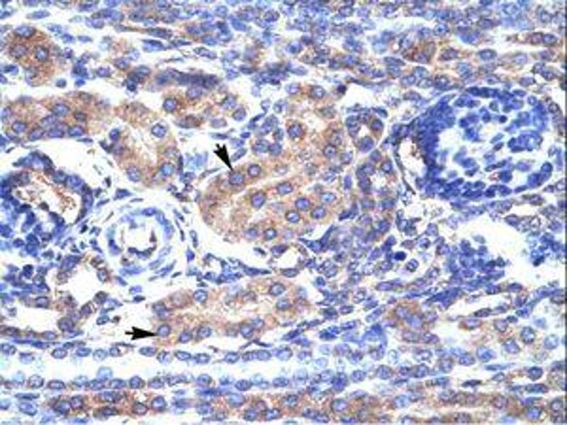
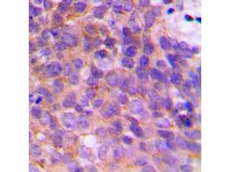
KCNAB3 Antibodies

(Potassium Voltage-Gated Channel, Shaker-Related Subfamily, beta Member 3 (KCNAB3))

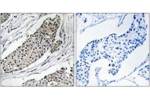
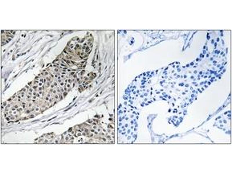
Choose one of 26 KCNAB3 antibodies from our product listing based on 12 validation images.

Explore reliable KCNAB3 antibodies from a broad selection of renowned manufacturers. Our portfolio enables accurate KCNAB3 detection across multiple species, including Human, Rat, Mouse, Dog, Cow, Guinea Pig, Horse, Rabbit, Bat, Monkey, Pig, and supports diverse research applications such as WB, ELISA, IHC, IF, IHC (p).

Quickly find the right antibody using our search, filter, and comparison tools. Each product page provides detailed validation data, literature references, and customer feedback. Unlike comparison-only resources, you can conveniently purchase antibodies directly through our site. Choose from polyclonal, monoclonal, or recombinant KCNAB3 antibodies derived from various hosts such as Rabbit. Browse our products below and order directly to support your research with confidence.

Alternative names for KCNAB3 are KCNAB3, Kcnab3, kcnab3.L.

26 results

KCNAB3 Reactivity: Human, Dog WB, IHC Host: Rabbit Polyclonal unconjugated
Catalog No. ABIN630058
$1,143.75
Plus shipping costs $50.00
100 μg
Shipping to: United States
Delivery in 9 to 12 Business Days
 
KCNAB3 Reactivity: Human, Dog, Cow, Guinea Pig, Horse, Rabbit, Bat, Monkey, Pig WB, IHC, IHC (p) Host: Rabbit Polyclonal unconjugated
Catalog No. ABIN202440
$649.00
Plus shipping costs $50.00
100 μL
Shipping to: United States
Delivery in 11 to 15 Business Days
 
KCNAB3 Reactivity: Human WB Host: Rabbit Polyclonal RB37693 unconjugated
Catalog No. ABIN1537960
$451.00
Plus shipping costs $50.00
400 μL (More quantities available)
Shipping to: United States
Delivery in 10 to 12 Business Days
 
KCNAB3 Reactivity: Human WB, IHC, ELISA Host: Rabbit Polyclonal unconjugated
Catalog No. ABIN7185084
$262.68
Plus shipping costs $50.00
100 μg (More quantities available)
Shipping to: United States
Delivery in 13 to 17 Business Days
 
KCNAB3 Reactivity: Human, Rat, Mouse, Dog, Cow, Guinea Pig, Horse, Rabbit WB, IHC Host: Rabbit Polyclonal unconjugated
Catalog No. ABIN2776166
$429.69
Plus shipping costs $50.00
100 μL (More quantities available)
Shipping to: United States
Delivery in 2 to 4 Business Days
 
KCNAB3 Reactivity: Human, Rat, Mouse WB, IHC, IF Host: Rabbit Polyclonal unconjugated
Catalog No. ABIN7297556
$330.77
Plus shipping costs $50.00
100 μL (More quantities available)
Shipping to: United States
Delivery in 13 to 15 Business Days
 
KCNAB3 Reactivity: Human, Rat, Mouse WB, IHC Host: Rabbit Polyclonal unconjugated
Catalog No. ABIN2886412
$659.27
Plus shipping costs $50.00
100 μL (More quantities available)
Shipping to: United States
Delivery in 11 to 15 Business Days
 
KCNAB3 Reactivity: Human, Rat, Mouse WB, IHC Host: Rabbit Polyclonal unconjugated
Catalog No. ABIN2878163
$659.27
Plus shipping costs $50.00
100 μL (More quantities available)
Shipping to: United States
Delivery in 11 to 15 Business Days
 
KCNAB3 Reactivity: Human WB, ELISA Host: Rabbit Polyclonal unconjugated
Catalog No. ABIN2611119
$1,153.53
Plus shipping costs $50.00
200 μL
Shipping to: United States
Delivery in 11 to 15 Business Days
 
KCNAB3 Reactivity: Human WB, ELISA Host: Rabbit Polyclonal Biotin
Catalog No. ABIN1906755
$1,480.60
Plus shipping costs $50.00
200 μL
Shipping to: United States
Delivery in 11 to 15 Business Days
 
KCNAB3 Reactivity: Human WB, ELISA Host: Rabbit Polyclonal FITC
Catalog No. ABIN1906756
$1,480.60
Plus shipping costs $50.00
200 μL
Shipping to: United States
Delivery in 11 to 15 Business Days
 
KCNAB3 Reactivity: Human WB, ELISA Host: Rabbit Polyclonal APC
Catalog No. ABIN1906754
$1,480.60
Plus shipping costs $50.00
200 μL
Shipping to: United States
Delivery in 11 to 15 Business Days
 
KCNAB3 Reactivity: Human WB, ELISA Host: Rabbit Polyclonal HRP
Catalog No. ABIN1906752
$1,480.60
Plus shipping costs $50.00
200 μL
Shipping to: United States
Delivery in 11 to 15 Business Days
 
KCNAB3 Reactivity: Human WB, ELISA Host: Rabbit Polyclonal PE
Catalog No. ABIN1906757
$1,480.60
Plus shipping costs $50.00
200 μL
Shipping to: United States
Delivery in 11 to 15 Business Days
 
KCNAB3 Reactivity: Human, Mouse ELISA Host: Rabbit Polyclonal unconjugated
Catalog No. ABIN7096773
$494.77
Plus shipping costs $50.00
100 μL (More quantities available)
Shipping to: United States
Delivery in 11 to 13 Business Days
 
KCNAB3 Reactivity: Human, Rat, Mouse IHC, ELISA Host: Rabbit Polyclonal unconjugated
Catalog No. ABIN1535464
$341.00
Plus shipping costs $50.00
100 μL (More quantities available)
Shipping to: United States
Delivery in 2 to 4 Business Days
 
KCNAB3 Reactivity: Human, Dog WB, IHC, ELISA Host: Rabbit Polyclonal unconjugated
Catalog No. ABIN2461107
$650.38
Plus shipping costs $50.00
100 μL
Shipping to: United States
Delivery in 2 to 4 Business Days
 
KCNAB3 Reactivity: Human WB, ELISA Host: Rabbit Polyclonal unconjugated
Catalog No. ABIN2296412
$920.00
Plus shipping costs $50.00
200 μL
Shipping to: United States
Delivery in 11 to 17 Business Days
 
KCNAB3 Reactivity: Human, Rat, Mouse WB, IHC, ELISA Host: Rabbit Polyclonal unconjugated
Catalog No. ABIN6104363
$457.26
Plus shipping costs $50.00
100 μL (More quantities available)
Shipping to: United States
Delivery in 10 to 18 Business Days
 
KCNAB3 Reactivity: Human, Rat Host: Rabbit Polyclonal Alexa Fluor 555
Catalog No. ABIN6893745
$515.90
Plus shipping costs $50.00
100 μL
Shipping to: United States
Delivery in 6 to 9 Business Days
 
  • Type Primary
    • Primary
  • Application
    • Western Blotting (WB)
    • ELISA
    • Immunohistochemistry (IHC)
    • Immunofluorescence (IF)
    • Immunohistochemistry (Paraffin-embedded Sections) (IHC (p))
  • Reactivity
    • Human
    • Rat
    • Mouse
    • Dog
    • Cow
    • Guinea Pig
    • Horse
    • Rabbit
    • Bat
    • Monkey
    • Pig
  • Images available
  • Preservative free only
  • Host
    • Rabbit
  • Clonality
    • Polyclonal
  • Clone
    • RB37693
  • Binding Specificity
    • AA 176-204
    • C-Term
    • N-Term
    • AA 175-205
    • AA 293-342
    • AA 337-382
    • AA 81-130
    • Center
    • Gln327
    • Internal Region
  • Conjugate
    • Un-conjugated
    • Biotin
    • APC
    • Alexa Fluor 488
    • Alexa Fluor 555
    • Alexa Fluor 594
    • Alexa Fluor 647
    • Alexa Fluor 680
    • Alexa Fluor 750
    • FITC
    • HRP
    • PE
  • Isotype
    • IgG
    • Ig Fraction
  • Format
    • Liquid
    • Lyophilized
  • Supplier
    • antibodies-online
    • Signalway
    • Abbexa
    • Assay Biotechnology Company, Inc.
    • Aviva Systems Biology
    • Cohesion Biosciences
    • ProSci
    • USBio

Aliases for KCNAB3 Antibodies

potassium voltage-gated channel subfamily A regulatory beta subunit 3 (KCNAB3) Antibodies
potassium voltage-gated channel, shaker-related subfamily, beta member 3 (Kcnab3) Antibodies
potassium voltage-gated channel subfamily A regulatory beta subunit 3 (Kcnab3) Antibodies
potassium channel, voltage gated subfamily A regulatory beta subunit 3 L homeolog (kcnab3.L) Antibodies
AKR6A9 Antibodies
akr6a9 Antibodies
C330022D06Rik Antibodies
KCNA3.1B Antibodies
kcna3.1b Antibodies
KCNA3B Antibodies
kcna3b Antibodies
KCNAB3 Antibodies
Kcnab4 Antibodies
kcnb4-A Antibodies
KV-BETA-3 Antibodies
kv-beta-3 Antibodies
kvb-b Antibodies
kvb4 Antibodies
mKv(beta)4 Antibodies
xKvbeta4 Antibodies
You are here:
Chat with us!