Phone:
+1 877 302 8632
Fax:
+1 888 205 9894 (Toll-free)
E-Mail:
orders@antibodies-online.com

PHIP Antibodies

(Pleckstrin Homology Domain Interacting Protein (PHIP))

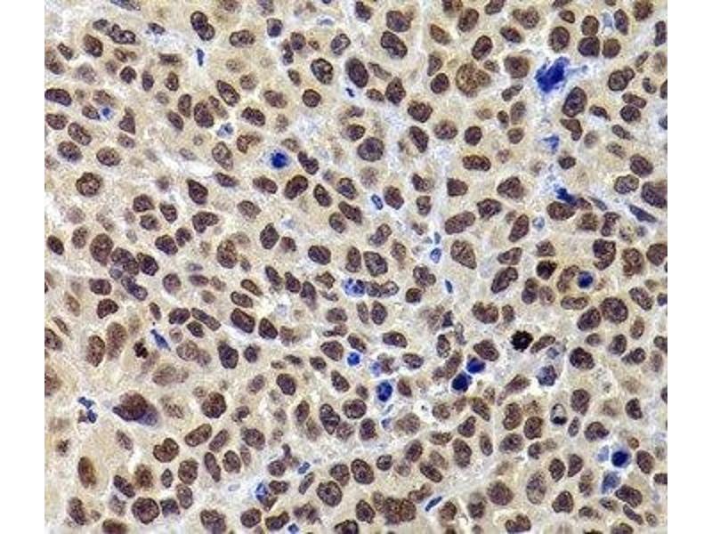
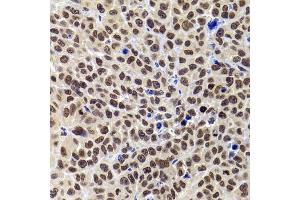
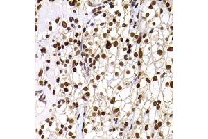
Choose one of 17 PHIP antibodies from our product listing based on 1 publication and 13 validation images.

Explore reliable PHIP antibodies from a broad selection of renowned manufacturers. Our portfolio enables accurate PHIP detection across multiple species, including Human, Mouse, Dog, Rat, Chicken, Cow, Horse, Pig, Rabbit, Xenopus laevis, Zebrafish (Danio rerio), and supports diverse research applications such as WB, ELISA, IF, IHC, IP.

Quickly find the right antibody using our search, filter, and comparison tools. Each product page provides detailed validation data, literature references, and customer feedback. Unlike comparison-only resources, you can conveniently purchase antibodies directly through our site. Choose from polyclonal, monoclonal, or recombinant PHIP antibodies derived from various hosts such as Rabbit, Mouse. Browse our products below and order directly to support your research with confidence.

Alternative names for PHIP are PHIP, Phip, phip.

17 results

PHIP Reactivity: Human WB, IHC, IF Host: Rabbit Polyclonal unconjugated
Catalog No. ABIN6145556
$383.00
Plus shipping costs $50.00
100 μL (More quantities available)
Shipping to: United States
Delivery in 7 to 10 Business Days
 
PHIP Reactivity: Human, Mouse IHC, IF Host: Rabbit Polyclonal unconjugated
Catalog No. ABIN7263187
$696.00
Plus shipping costs $50.00
200 μL (More quantities available)
Shipping to: United States
Delivery in 11 to 15 Business Days
 
PHIP Reactivity: Human WB, ELISA, IF Host: Mouse Monoclonal 4D7 unconjugated
Pubmed 1 reference
Catalog No. ABIN565808
$520.15
Plus shipping costs $50.00
100 μg
Shipping to: United States
Delivery in 11 to 14 Business Days
 
PHIP Reactivity: Human WB, ELISA Host: Mouse Polyclonal unconjugated
Catalog No. ABIN565807
$359.85
Plus shipping costs $50.00
50 μL
Shipping to: United States
Delivery in 11 to 14 Business Days
 
PHIP Reactivity: Human ELISA Host: Rabbit Polyclonal unconjugated
Catalog No. ABIN7163034
$394.68
Plus shipping costs $50.00
100 μg (More quantities available)
Shipping to: United States
Delivery in 13 to 17 Business Days
 
PHIP Reactivity: Human Host: Rabbit Polyclonal FITC
Catalog No. ABIN7163036
$394.68
Plus shipping costs $50.00
100 μg (More quantities available)
Shipping to: United States
Delivery in 13 to 17 Business Days
 
PHIP Reactivity: Human ELISA Host: Rabbit Polyclonal HRP
Catalog No. ABIN7163037
$394.68
Plus shipping costs $50.00
100 μg (More quantities available)
Shipping to: United States
Delivery in 13 to 17 Business Days
 
PHIP Reactivity: Human WB, ELISA Host: Rabbit Polyclonal unconjugated
Catalog No. ABIN7135633
$792.00
Plus shipping costs $50.00
100 μL
Shipping to: United States
Delivery in 13 to 17 Business Days
 
PHIP Reactivity: Human ELISA Host: Rabbit Polyclonal Biotin
Catalog No. ABIN7163035
$394.68
Plus shipping costs $50.00
100 μg (More quantities available)
Shipping to: United States
Delivery in 13 to 17 Business Days
 
PHIP Reactivity: Human WB Host: Rabbit Polyclonal unconjugated
Catalog No. ABIN7452899
$538.15
Plus shipping costs $50.00
20 μg (More quantities available)
Shipping to: United States
Delivery in 3 to 5 Business Days
 
PHIP Reactivity: Human WB, IP Host: Rabbit Polyclonal unconjugated
Catalog No. ABIN7451956
$538.15
Plus shipping costs $50.00
20 μg (More quantities available)
Shipping to: United States
Delivery in 3 to 5 Business Days
 
PHIP Reactivity: Human, Mouse, Dog, Rat, Cow, Horse, Pig, Rabbit WB Host: Rabbit Polyclonal unconjugated
Catalog No. ABIN1948333
$496.47
Plus shipping costs $50.00
2 μg (More quantities available)
Shipping to: United States
Delivery in 11 to 15 Business Days
 
PHIP Reactivity: Human, Mouse, Dog, Rat, Chicken, Xenopus laevis, Zebrafish (Danio rerio) WB, IP Host: Rabbit Polyclonal unconjugated
Catalog No. ABIN1948334
$496.47
Plus shipping costs $50.00
2 μg (More quantities available)
Shipping to: United States
Delivery in 11 to 15 Business Days
 
PHIP Reactivity: Human, Mouse WB, ELISA, IHC Host: Rabbit Polyclonal unconjugated
Catalog No. ABIN7117590
$494.77
Plus shipping costs $50.00
100 μg
Shipping to: United States
Delivery in 13 to 17 Business Days
 
PHIP Reactivity: Human ELISA Host: Rabbit Polyclonal FITC
Catalog No. ABIN6084381
$580.46
Plus shipping costs $50.00
100 μL (More quantities available)
Shipping to: United States
Delivery in 10 to 20 Business Days
 
PHIP Reactivity: Human WB, ELISA, IF Host: Mouse Monoclonal 4D7 unconjugated
Catalog No. ABIN2334498
$905.21
Plus shipping costs $50.00
100 μg
Shipping to: United States
Delivery in 11 to 17 Business Days
 
PHIP Reactivity: Human WB, IHC, IF Host: Rabbit Polyclonal unconjugated
Catalog No. ABIN7310414
$330.77
Plus shipping costs $50.00
100 μL (More quantities available)
Shipping to: United States
Delivery in 13 to 15 Business Days
 
  • Type Primary
    • Primary
  • Application
    • Western Blotting (WB)
    • ELISA
    • Immunofluorescence (IF)
    • Immunohistochemistry (IHC)
    • Immunoprecipitation (IP)
  • Reactivity
    • Human
    • Mouse
    • Dog
    • Rat
    • Chicken
    • Cow
    • Horse
    • Pig
    • Rabbit
    • Xenopus laevis
    • Zebrafish (Danio rerio)
  • Cited in publications
  • Images available
  • Carrier free only
  • Host
    • Rabbit
    • Mouse
  • Clonality
    • Polyclonal
    • Monoclonal
  • Clone
    • 4D7
  • Binding Specificity
    • AA 508-608
    • AA 1599-1705
    • AA 1600-1650
    • AA 1771-1821
    • AA 1542-1821
    • AA 1599-1706
    • PH domain
  • Conjugate
    • Un-conjugated
    • FITC
    • Biotin
    • HRP
  • Isotype
    • IgG
    • IgG2b
    • IgG2b kappa
  • Format
    • Liquid
  • Supplier
    • antibodies-online
    • Abbexa
    • Cohesion Biosciences
    • USBio

Latest Publications for our PHIP Antibodies

De Semir, Nosrati, Bezrookove, Dar, Federman, Bienvenu, Venna, Rangel, Climent, Meyer Tamgüney, Thummala, Tong, Leong, Haqq, Billings, Miller, Sagebiel, Debs, Kashani-Sabet: "Pleckstrin homology domain-interacting protein (PHIP) as a marker and mediator of melanoma metastasis." in: Proceedings of the National Academy of Sciences of the United States of America, Vol. 109, Issue 18, pp. 7067-72, (2012) (PubMed).

Aliases for PHIP Antibodies

pleckstrin homology domain interacting protein (PHIP) Antibodies
pleckstrin homology domain interacting protein (Phip) Antibodies
pleckstrin homology domain interacting protein (phip) Antibodies
2810004D21Rik Antibodies
4632404O06Rik Antibodies
BRWD2 Antibodies
DCAF14 Antibodies
ndrp Antibodies
Ndrp Antibodies
PHIP Antibodies
RGD1564964 Antibodies
WDR11 Antibodies
Wdr11 Antibodies
You are here:
Chat with us!