PBS with 0.02 % sodium azide,50 % glycerol, pH 7.3.
Preservative
Sodium azide
Precaution of Use
This product contains Sodium azide: a POISONOUS AND HAZARDOUS SUBSTANCE which should be handled by trained staff only.
Storage
-20 °C
Storage Comment
Store at -20°C. Avoid freeze / thaw cycles.
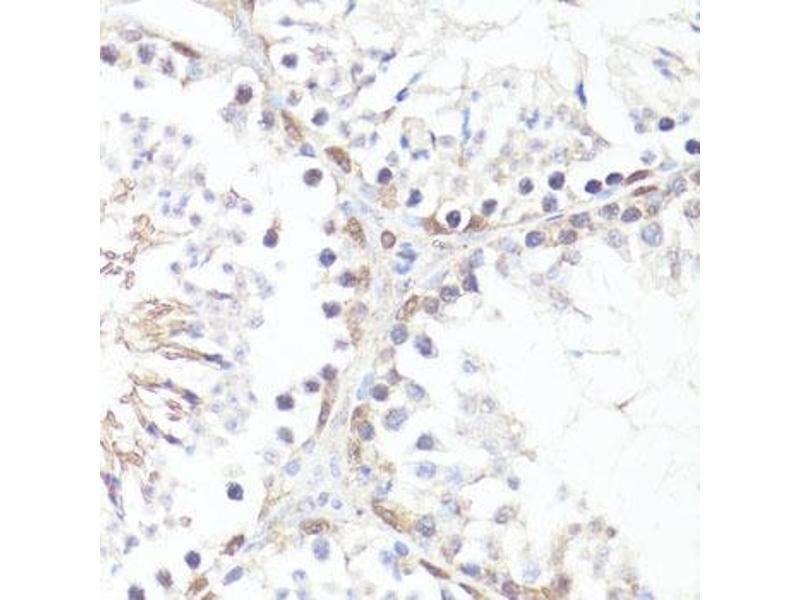
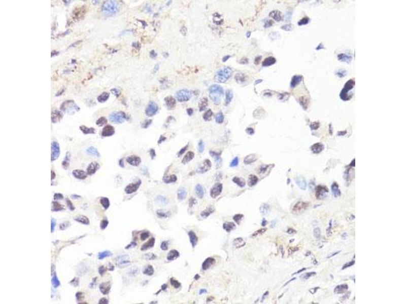
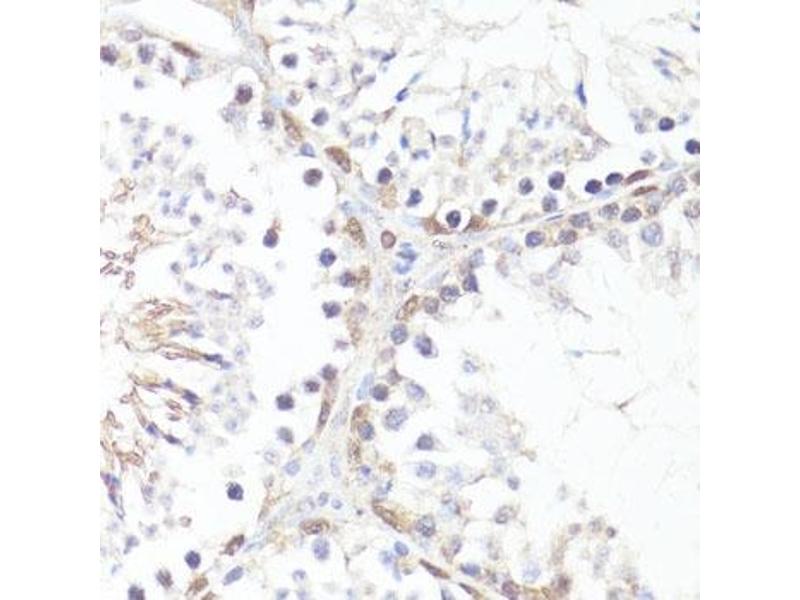
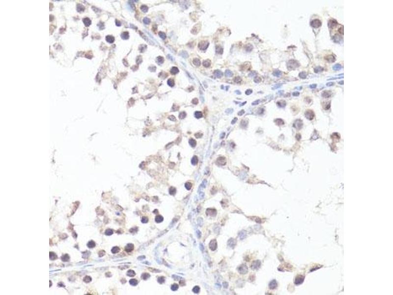
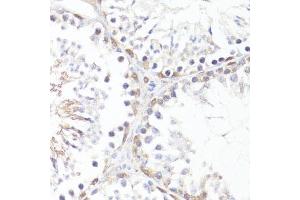
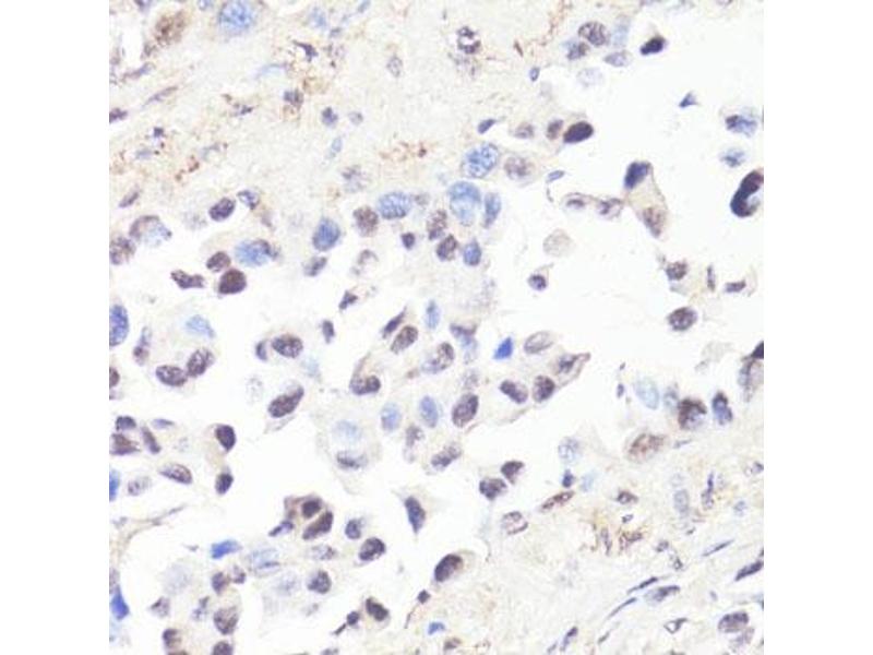
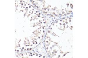
Target
c-MYC (MYC)
(Myc Proto-Oncogene protein (MYC))
Alternative Name
MYC
Background
The protein encoded by this gene is a multifunctional, nuclear phosphoprotein that plays a role in cell cycle progression, apoptosis and cellular transformation. It functions as a transcription factor that regulates transcription of specific target genes. Mutations, overexpression, rearrangement and translocation of this gene have been associated with a variety of hematopoietic tumors, leukemias and lymphomas, including Burkitt lymphoma. There is evidence to show that alternative translation initiations from an upstream, in-frame non-AUG (CUG) and a downstream AUG start site result in the production of two isoforms with distinct N-termini. The synthesis of non-AUG initiated protein is suppressed in Burkitt's lymphomas, suggesting its importance in the normal function of this gene.,MRTL,MYCC,bHLHe39,c-Myc,MYC,Epigenetics & Nuclear Signaling,Transcription Factors,Cancer,Tumor biomarkers,Signal Transduction,MAPK-Erk Signaling Pathway,MAPK-P38 Signaling Pathway,Cell Biology & Developmental Biology,Apoptosis,Cell Cycle,Cell differentiation,G1/S Checkpoint,Hedgehog Signaling Pathway,Notch Signaling Pathway,Endocrine & Metabolism,Warburg Effect,Immunology & Inflammation,IL-6 Receptor Signaling Pathway,Stem Cells,Protein phosphorylation,MYC