Phone:
+1 877 302 8632
Fax:
+1 888 205 9894 (Toll-free)
E-Mail:
orders@antibodies-online.com

POLR2E Antibodies

(Polymerase (RNA) II (DNA Directed) Polypeptide E, 25kDa (POLR2E))

Choose one of 34 POLR2E antibodies from our product listing based on 17 validation images.

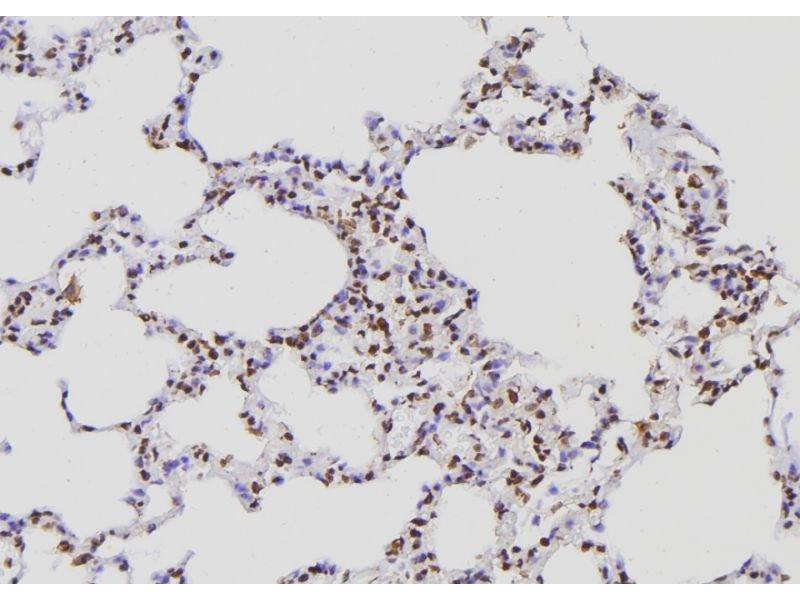
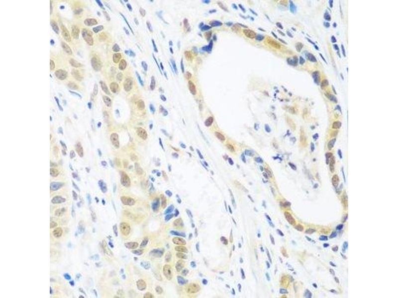
Explore reliable POLR2E antibodies from a broad selection of renowned manufacturers. Our portfolio enables accurate POLR2E detection across multiple species, including Human, Rat, Mouse, Monkey, Dog, Cow, and supports diverse research applications such as WB, ELISA, IHC, IF, FACS.

Quickly find the right antibody using our search, filter, and comparison tools. Each product page provides detailed validation data, literature references, and customer feedback. Unlike comparison-only resources, you can conveniently purchase antibodies directly through our site. Choose from polyclonal, monoclonal, or recombinant POLR2E antibodies derived from various hosts such as Rabbit, Mouse. Browse our products below and order directly to support your research with confidence.

Alternative names for POLR2E are polr2e.S, POLR2E, polr2eb, polr2e, Polr2e, rpb-5.

34 results

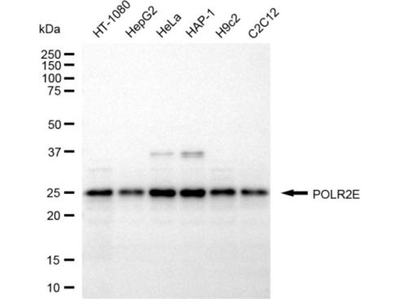
POLR2E Reactivity: Human WB, IHC, IF Host: Rabbit Polyclonal unconjugated
Catalog No. ABIN7009701
$214.80
Plus shipping costs $50.00
60 μL
Shipping to: United States
Delivery in 11 to 14 Business Days
 
POLR2E Reactivity: Human, Mouse, Rat WB, ELISA, IHC, IF, ICC Host: Rabbit Polyclonal unconjugated
Catalog No. ABIN6264345
$494.77
Plus shipping costs $50.00
100 μL (More quantities available)
Shipping to: United States
Delivery in 11 to 12 Business Days
 
POLR2E Reactivity: Human WB, FACS Host: Mouse Monoclonal 24GB13230 unconjugated
Catalog No. ABIN7799879
$394.31
Plus shipping costs $50.00
100 μL
Shipping to: United States
Delivery in 3 to 4 Business Days
 
POLR2E Reactivity: Human, Mouse, Rat, Monkey, Dog WB, IHC, IF, FACS Host: Mouse Monoclonal 3B5 unconjugated
Catalog No. ABIN2729316
$608.40
Plus shipping costs $50.00
0.1 mL
Shipping to: United States
Delivery in 6 to 8 Business Days
 
POLR2E Reactivity: Human IP Host: Rabbit Polyclonal unconjugated
Catalog No. ABIN519029
$504.43
Plus shipping costs $50.00
100 μL
Shipping to: United States
Delivery in 11 to 12 Business Days
 
POLR2E Reactivity: Human WB Host: Mouse Polyclonal unconjugated
Catalog No. ABIN519028
$520.15
Plus shipping costs $50.00
50 μg
Shipping to: United States
Delivery in 11 to 12 Business Days
 
POLR2E Reactivity: Human, Mouse, Rat, Monkey, Cow WB, IHC Host: Rabbit Polyclonal unconjugated
Catalog No. ABIN7301140
$330.77
Plus shipping costs $50.00
100 μL (More quantities available)
Shipping to: United States
Delivery in 13 to 14 Business Days
 
POLR2E Reactivity: Human, Mouse, Rat WB, ELISA, IHC (p) Host: Rabbit Polyclonal unconjugated
Catalog No. ABIN7223266
$379.10
Plus shipping costs $50.00
100 μL (More quantities available)
Shipping to: United States
Delivery in 12 to 15 Business Days
 
POLR2E Reactivity: Human ELISA Host: Rabbit Polyclonal Biotin
Catalog No. ABIN7150485
$394.68
Plus shipping costs $50.00
100 μg (More quantities available)
Shipping to: United States
Delivery in 13 to 16 Business Days
 
POLR2E Reactivity: Human Host: Rabbit Polyclonal FITC
Catalog No. ABIN7150486
$394.68
Plus shipping costs $50.00
100 μg (More quantities available)
Shipping to: United States
Delivery in 13 to 16 Business Days
 
POLR2E Reactivity: Human ELISA Host: Rabbit Polyclonal HRP
Catalog No. ABIN7150487
$394.68
Plus shipping costs $50.00
100 μg (More quantities available)
Shipping to: United States
Delivery in 13 to 16 Business Days
 
POLR2E Reactivity: Human ELISA Host: Rabbit Polyclonal unconjugated
Catalog No. ABIN7150484
$394.68
Plus shipping costs $50.00
100 μg (More quantities available)
Shipping to: United States
Delivery in 13 to 16 Business Days
 
POLR2E Reactivity: Human, Mouse, Rat WB, ELISA, IHC, IP Host: Rabbit Polyclonal unconjugated
Catalog No. ABIN7117673
$472.62
Plus shipping costs $50.00
100 μg
Shipping to: United States
Delivery in 13 to 16 Business Days
 
POLR2E Reactivity: Human, Mouse, Rat WB, ELISA, IHC Host: Rabbit Polyclonal unconjugated
Catalog No. ABIN3186518
$402.79
Plus shipping costs $50.00
100 μL (More quantities available)
Shipping to: United States
Delivery in 11 to 13 Business Days
 
POLR2E Reactivity: Human WB Host: Rabbit Polyclonal unconjugated
Catalog No. ABIN1811146
$643.13
Plus shipping costs $50.00
400 μL
Shipping to: United States
Delivery in 11 to 14 Business Days
 
POLR2E Reactivity: Human, Mouse, Rat, Monkey, Dog WB, IHC, IHC (p), FACS Host: Mouse Monoclonal 3B5 unconjugated
Catalog No. ABIN2451671
$704.73
Plus shipping costs $50.00
100 μL
Shipping to: United States
Delivery in 11 to 14 Business Days
 
POLR2E Reactivity: Human WB, IHC (p) Host: Rabbit Monoclonal R05-8J5R05-8J5 unconjugated Recombinant Antibody
Catalog No. ABIN7542093
$772.20
Plus shipping costs $50.00
100 μL
Shipping to: United States
Delivery in 11 to 12 Business Days
 
POLR2E Reactivity: Human WB, IF, ICC Host: Rabbit Polyclonal unconjugated
Catalog No. ABIN7468766
$740.00
Plus shipping costs $50.00
100 μL
Shipping to: United States
Delivery in 3 to 4 Business Days
 
POLR2E Reactivity: Human, Mouse, Rat WB, IHC, IHC (p) Host: Rabbit Polyclonal unconjugated
Catalog No. ABIN2892676
$646.07
Plus shipping costs $50.00
100 μL (More quantities available)
Shipping to: United States
Delivery in 11 to 14 Business Days
 
POLR2E Reactivity: Human WB, ELISA Host: Rabbit Polyclonal unconjugated
Catalog No. ABIN2581305
$1,153.53
Plus shipping costs $50.00
200 μL
Shipping to: United States
Delivery in 11 to 14 Business Days
 
  • Type Primary
    • Primary
  • Application
    • Western Blotting (WB)
    • ELISA
    • Immunohistochemistry (IHC)
    • Immunofluorescence (IF)
    • Flow Cytometry (FACS)
    • Immunohistochemistry (Paraffin-embedded Sections) (IHC (p))
    • Immunocytochemistry (ICC)
    • Immunoprecipitation (IP)
  • Reactivity
    • Human
    • Rat
    • Mouse
    • Monkey
    • Dog
    • Cow
  • Images available
  • Preservative free only
  • Carrier free only
  • Host
    • Rabbit
    • Mouse
  • Clonality
    • Polyclonal
    • Monoclonal
  • Clone
    • 3B5
    • 24GB13230
    • 2A11
    • 3C5
    • R05-8J5R05-8J5
  • Binding Specificity
    • AA 30-59
    • AA 1-210
    • N-Term
    • Internal Region
    • AA 21-70
    • AA 29-59
    • AA 40-120
    • AA 95-210
    • Center
    • Leu58
  • Conjugate
    • Un-conjugated
    • FITC
    • Biotin
    • HRP
    • APC
    • PE
  • Isotype
    • IgG
    • IgG2a
    • Ig Fraction
    • IgG1
  • Protein Type
    • Recombinant Antibody
  • Format
    • Liquid
    • Lyophilized
  • Supplier
    • antibodies-online
    • USBio
    • Abbexa
    • Assay Biotechnology Company, Inc.
    • Boster Bio
    • Cohesion Biosciences
    • OriGene
    • ProSci
    • RayBiotech

Latest Publications for our POLR2E Antibodies

Frischknecht, Britschgi, Galliker, Christinat, Vichalkovski, Gstaiger, Kovacs, Krek: "BRAF inhibition sensitizes melanoma cells to α-amanitin via decreased RNA polymerase II assembly." in: Scientific reports, Vol. 9, Issue 1, pp. 7779, (2019) (PubMed).

Aliases for POLR2E Antibodies

polymerase (RNA) II (DNA directed) polypeptide E, 25kDa S homeolog (polr2e.S) Antibodies
RNA polymerase II subunit E (POLR2E) Antibodies
polymerase (RNA) II (DNA directed) polypeptide E, b (polr2eb) Antibodies
polymerase (RNA) II (DNA directed) polypeptide E, 25kDa (polr2e) Antibodies
polymerase (RNA) II (DNA directed) polypeptide E (Polr2e) Antibodies
RNA polymerase II subunit E (Polr2e) Antibodies
DNA-directed RNA polymerases I, II, and III subunit RPABC1 (rpb-5) Antibodies
25kDa Antibodies
2410021N14Rik Antibodies
AW208866 Antibodies
hRPB25 Antibodies
hsRPB5 Antibodies
MGC68604 Antibodies
polr2e Antibodies
RPABC1 Antibodies
RPB5 Antibodies
wu:fk97g10 Antibodies
XAP4 Antibodies
zgc:101098 Antibodies
You are here:
Chat with us!