Phone:
+1 877 302 8632
Fax:
+1 888 205 9894 (Toll-free)
E-Mail:
orders@antibodies-online.com

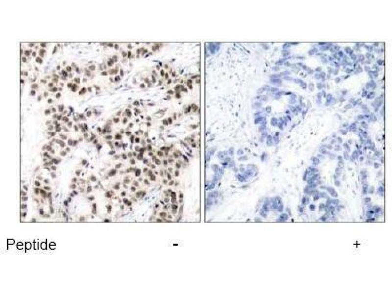
c-MYC antibody (Thr58)

The Rabbit Polyclonal anti-c-MYC antibody (ABIN197154) specifically detects c-MYC in WB and IHC (p). The antibody is reactive with Human and Mouse samples.
Catalog No. ABIN197154
$558.00
Plus shipping costs $50.00
Shipping to: United States
Delivery in 1 to 2 Business Days

Quick Overview for c-MYC antibody (Thr58) (ABIN197154)

Target

See all c-MYC (MYC) Antibodies
c-MYC (MYC) (Myc Proto-Oncogene protein (MYC))

Reactivity

  • 424
  • 191
  • 161
  • 15
  • 15
  • 14
  • 14
  • 13
  • 10
  • 9
  • 9
  • 6
  • 6
  • 6
  • 6
  • 4
  • 3
  • 3
  • 2
  • 2
  • 2
  • 1
  • 1
  • 1
  • 1
  • 1
  • 1
  • 1
Human, Mouse

Host

  • 330
  • 117
  • 6
  • 5
  • 3
  • 1
  • 1
Rabbit

Clonality

  • 264
  • 198
Polyclonal

Conjugate

  • 207
  • 36
  • 24
  • 22
  • 9
  • 9
  • 9
  • 9
  • 9
  • 9
  • 8
  • 7
  • 7
  • 6
  • 5
  • 5
  • 5
  • 5
  • 5
  • 5
  • 5
  • 5
  • 5
  • 5
  • 5
  • 4
  • 4
  • 4
  • 4
  • 4
  • 4
  • 3
  • 2
  • 1
  • 1
  • 1
  • 1
  • 1
  • 1
  • 1
  • 1
This c-MYC antibody is un-conjugated

Application

  • 340
  • 138
  • 132
  • 128
  • 127
  • 91
  • 81
  • 54
  • 28
  • 26
  • 18
  • 13
  • 12
  • 10
  • 7
  • 6
  • 4
  • 1
  • 1
  • 1
  • 1
Western Blotting (WB), Immunohistochemistry (Paraffin-embedded Sections) (IHC (p))
You are here:
Chat with us!