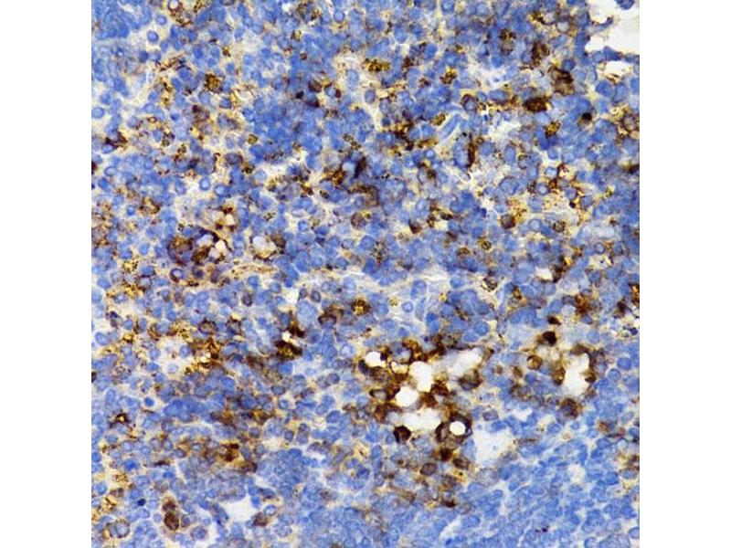
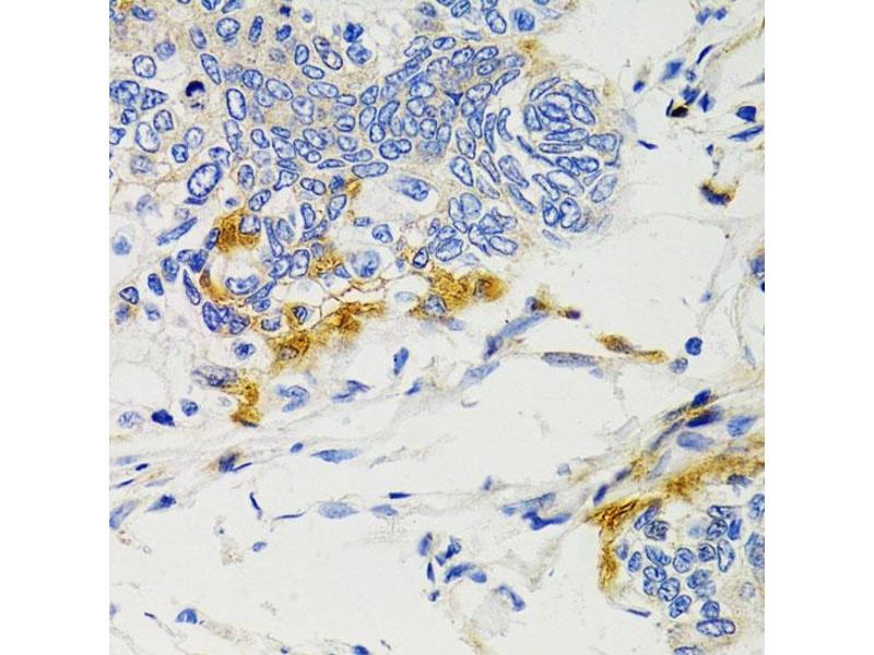
The Rabbit Polyclonal anti-PTPN11 antibody has been validated for WB, IHC and IF. It is suitable to detect PTPN11 in samples from Human. There is 1 publication available.
PBS with 0.02 % sodium azide,50 % glycerol, pH 7.3.
Preservative
Sodium azide
Precaution of Use
This product contains Sodium azide: a POISONOUS AND HAZARDOUS SUBSTANCE which should be handled by trained staff only.
Storage
-20 °C
Storage Comment
Store at -20°C. Avoid freeze / thaw cycles.
Ganesan, Rasool: "Interleukin 17 regulates SHP-2 and IL-17RA/STAT-3 dependent Cyr61, IL-23 and GM-CSF expression and RANKL mediated osteoclastogenesis by fibroblast-like synoviocytes in rheumatoid arthritis." in: Molecular immunology, Vol. 91, pp. 134-144, (2017) (PubMed).
Target
PTPN11
(Protein tyrosine Phosphatase, Non-Receptor Type 11 (PTPN11))
Alternative Name
PTPN11
Background
The protein encoded by this gene is a member of the protein tyrosine phosphatase (PTP) family. PTPs are known to be signaling molecules that regulate a variety of cellular processes including cell growth, differentiation, mitotic cycle, and oncogenic transformation. This PTP contains two tandem Src homology-2 domains, which function as phospho-tyrosine binding domains and mediate the interaction of this PTP with its substrates. This PTP is widely expressed in most tissues and plays a regulatory role in various cell signaling events that are important for a diversity of cell functions, such as mitogenic activation, metabolic control, transcription regulation, and cell migration. Mutations in this gene are a cause of Noonan syndrome as well as acute myeloid leukemia. Two transcript variants encoding different isoforms have been found for this gene.,BPTP3,CFC,JMML,METCDS,NS1,PTP-1D,PTP2C,SH-PTP2,SH-PTP3,SHP2,PTPN11,Signal Transduction,Kinase,Tyrosine kinases,ErbB-HER Signaling Pathway,Cell Biology & Developmental Biology,Endocrine & Metabolism,Insulin Receptor Signaling Pathway,Immunology & Inflammation,B Cell Receptor Signaling Pathway,IL-6 Receptor Signaling Pathway,Neuroscience,PTPN11